Warehouse Overstock Promotion |  Save 10%  on Premium Lab Supplies |  Shop Now

Menu

This product has been added to the cart.

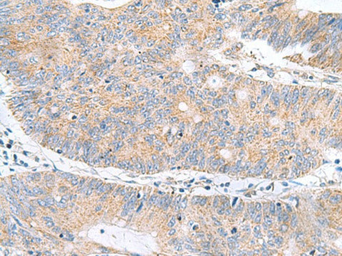
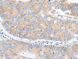
RIDA Polyclonal Antibody Reactivity Human

SKU: E-AB-53037-200

  • $ 55995
  • Save $ 4000


Request a Quote

RIDA Polyclonal Antibody Reactivity Human

 

SKU # E-AB-53037
Reactivity Human, Mouse, Rat
Host Rabbit
Applications WB, IHC

 

Product Details

Isotype IgG
Host Rabbit
Reactivity Human, Mouse, Rat
Applications WB,  IHC
Clonality Polyclonal
Immunogen Fusion protein of human RIDA
Abbre RIDA
Synonyms 14.5 kDa translational inhibitor protein,  2-iminobutanoate/2-iminopropanoate deaminase,  Heat responsive protein 12,  Heat-responsive protein 12,  Hrsp12,  PSP,  Perchloric acid soluble protein,  Reactive intermediate imine deaminase A homolog,  Ribonuclease UK114,  p14.5
Swissprot
Calculated MW 14 kDa
Observed MW Refer to figures
Cellular Localization Cytoplasm. Nucleus. Mostly cytoplasmic but, in less differentiated cells occasionally nuclear.
Concentration 1.2 mg/mL
Buffer Phosphate buffered solution, pH 7.4, containing 0.05% stabilizer and 50% glycerol.
Purification Method Antigen affinity purification
Research Areas Epigenetics and Nuclear Signaling
Conjugation Unconjugated
Storage Store at -20°C Valid for 12 months. Avoid freeze / thaw cycles.
Shipping The product is shipped with ice pack, upon receipt, store it immediately at the temperature recommended.

 

Related Reagents

Applications Recommended Dilution
WB 1:500-1:2000
IHC 1:50-1:200

 

Background

Catalyzes the hydrolytic deamination of enamine/imine intermediates that form during the course of normal metabolism. May facilitate the release of ammonia from these potentially toxic reactive metabolites, reducing their impact on cellular components. It may act on enamine/imine intermediates formed by several types of pyridoxal-5'-phosphate-dependent dehydratases including L-threonine dehydratase. May also function as an endoribonuclease, cleaving mRNA phosphodiester bonds of single-stranded RNA (By similarity). Thereby, may inhibit protein translation (PubMed:8973653).