Warehouse Overstock Promotion |  Save 10%  on Premium Lab Supplies |  Shop Now

Menu

This product has been added to the cart.

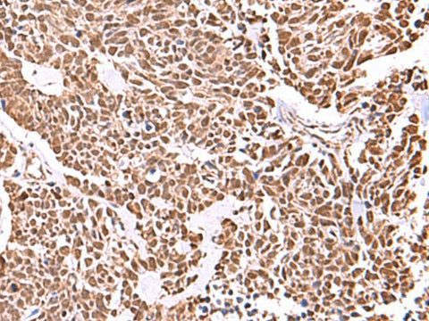
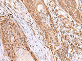
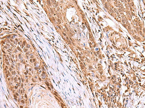
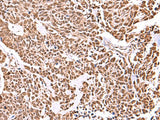
RCOR3 Polyclonal Antibody Reactivity Human

SKU: E-AB-52952-200

  • $ 55995
  • Save $ 4000


Request a Quote

RCOR3 Polyclonal Antibody Reactivity Human

 

SKU # E-AB-52952
Reactivity Human, Mouse
Host Rabbit
Applications IHC

 

Product Details

Isotype IgG
Host Rabbit
Reactivity Human, Mouse
Applications IHC
Clonality Polyclonal
Immunogen Fusion protein of human RCOR3
Abbre RCOR3
Synonyms 4921514E24Rik,  C730034D20Rik,  E130101E15Rik,  FLJ10876,  FLJ16298,  KIAA1343,  MGC28186,  OTTHUMP00000035053,  RCOR3,  REST corepressor 3,  RP11-318L16.1
Swissprot
Cellular Localization Nuclear
Concentration 0.96 mg/mL
Buffer Phosphate buffered solution, pH 7.4, containing 0.05% stabilizer and 50% glycerol.
Purification Method Antigen affinity purification
Research Areas Cancer,  Epigenetics and Nuclear Signaling
Conjugation Unconjugated
Storage Store at -20°C Valid for 12 months. Avoid freeze / thaw cycles.
Shipping The product is shipped with ice pack, upon receipt, store it immediately at the temperature recommended.

 

Related Reagents

Applications Recommended Dilution
IHC 1:50-1:300

 

Background

May act as a component of a corepressor complex that represses transcription.