Warehouse Overstock Promotion |  Save 10%  on Premium Lab Supplies |  Shop Now

Menu

This product has been added to the cart.

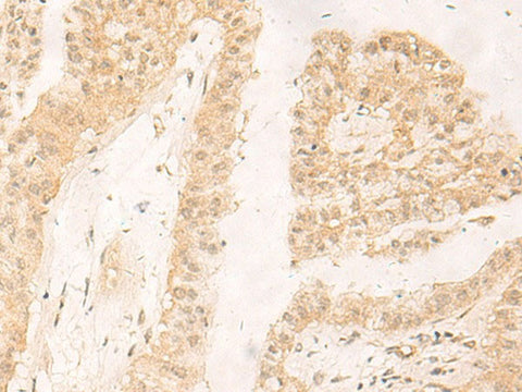
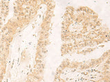
RBX1 Polyclonal Antibody Reactivity Human

SKU: E-AB-52795-200

  • $ 55995
  • Save $ 4000


Request a Quote

RBX1 Polyclonal Antibody Reactivity Human

 

SKU # E-AB-52795
Reactivity Human, Mouse
Host Rabbit
Applications IHC

 

Product Details

Isotype IgG
Host Rabbit
Reactivity Human, Mouse
Applications IHC
Clonality Polyclonal
Immunogen Fusion protein of human RBX1
Abbre RBX1
Synonyms BA554C12.1,  E3 ubiquitin-protein ligase RBX1,  FLJ60363,  MGC13357,  MGC1481,  OTTHUMP00000028983,  Protein ZYP,  RBX1,  RIN,  RING box protein 1,  RING finger protein,  RING finger protein 75,  Rbx 1,  Rbx1,  Regulator of cullins 1,  Ring box 1,  Ring box 1 E3 ubiquitin protein ligase
Swissprot
Cellular Localization Cytoplasm. Nucleus.
Concentration 0.48 mg/mL
Buffer Phosphate buffered solution, pH 7.4, containing 0.05% stabilizer and 50% glycerol.
Purification Method Antigen affinity purification
Research Areas Cancer,  Cell Biology,  Epigenetics and Nuclear Signaling
Conjugation Unconjugated
Storage Store at -20°C Valid for 12 months. Avoid freeze / thaw cycles.
Shipping The product is shipped with ice pack, upon receipt, store it immediately at the temperature recommended.

 

Related Reagents

Applications Recommended Dilution
IHC 1:30-1:150

 

Background

This locus encodes a RING finger-like domain-containing protein. The encoded protein interacts with cullin proteins and likely plays a role in ubiquitination processes necessary for cell cycle progression. This protein may also affect protein turnover. Related pseudogenes exist on chromosomes 2 and 5.