Warehouse Overstock Promotion |  Save 10%  on Premium Lab Supplies |  Shop Now

Menu

This product has been added to the cart.

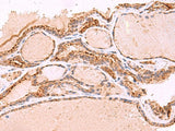
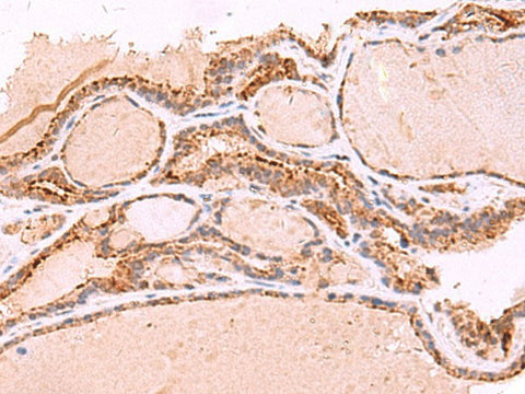
RABEPK Polyclonal Antibody Reactivity Human

SKU: E-AB-52917-200

  • $ 55995
  • Save $ 4000


Request a Quote

RABEPK Polyclonal Antibody Reactivity Human

 

SKU # E-AB-52917
Reactivity Human
Host Rabbit
Applications IHC

 

Product Details

Isotype IgG
Host Rabbit
Reactivity Human
Applications IHC
Clonality Polyclonal
Immunogen Fusion protein of human RABEPK
Abbre RABEPK
Synonyms 40 kDa Rab9 effector protein,  8430412M01Rik,  9530020d24rik,  AV073337,  C87311,  DKFZp686P1077,  OTTHUMP00000022126,  OTTMUSP00000012898,  OTTMUSP00000012899,  OTTMUSP00000041318,  RAB9 effector p40,  RAB9p40,  RABEK,  RABEPK,  Rab9 effector protein with Kelch motifs,  bA65N13.1,  p40
Swissprot
Cellular Localization Cytoplasm. Endosome membrane. Interaction with PIP5K3 and subsequent phosphorylation recruits it to the endosomal membrane.
Concentration 1.14 mg/mL
Buffer Phosphate buffered solution, pH 7.4, containing 0.05% stabilizer and 50% glycerol.
Purification Method Antigen affinity purification
Research Areas Cell Biology,  Signal transduction
Conjugation Unconjugated
Storage Store at -20°C Valid for 12 months. Avoid freeze / thaw cycles.
Shipping The product is shipped with ice pack, upon receipt, store it immediately at the temperature recommended.

 

Related Reagents

Applications Recommended Dilution
IHC 1:50-1:300

 

Background

Rab9 effector required for endosome to trans-Golgi network (TGN) transport.