Warehouse Overstock Promotion |  Save 10%  on Premium Lab Supplies |  Shop Now

Menu

This product has been added to the cart.

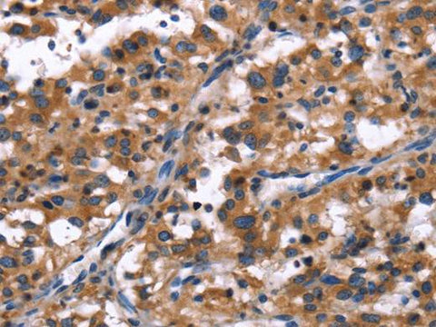
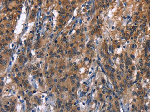
R3HCC1L Polyclonal Antibody

SKU: E-AB-16455-200

  • $ 55995
  • Save $ 4000


Request a Quote

R3HCC1L Polyclonal Antibody

 

SKU # E-AB-16455
Reactivity Human, Mouse
Host Rabbit
Applications IHC

 

Product Details

Isotype IgG
Host Rabbit
Reactivity Human, Mouse
Applications IHC
Clonality Polyclonal
Immunogen Synthetic peptide of human R3HCC1L
Abbre R3HCC1L
Synonyms C10orf28,  C10orf28 protein,  Chromosome 10 open reading frame 28,  FLJ25458,  FLJ37160,  GIDRP86,  GIDRP88,  Growth inhibition and differentiation related protein 86,  Growth inhibition and differentiation-related protein 88,  PSORT,  Putative mitochondrial space protein 32
Swissprot
Concentration 0.7 mg/mL
Buffer Phosphate buffered solution, pH 7.4, containing 0.05% stabilizer and 50% glycerol.
Purification Method Affinity purification
Research Areas Cell biology
Conjugation Unconjugated
Storage Store at -20°C Valid for 12 months. Avoid freeze / thaw cycles.
Shipping The product is shipped with ice pack,upon receipt,store it immediately at the temperature recommended.

 

Related Reagents

Applications Recommended Dilution
IHC 1:50-1:200

 

Background

C10orf28 (chromosome 10 open reading frame 28), also known as GIDRP88 (growth inhibition and differentiation-related protein 88) or putative mitochondrial space protein 32.1, is a 792 amino acid protein that exists as three alternatively spliced isoforms. The gene encoding C10orf28 maps to human chromosome 10, which spans nearly 135 million base pairs, makes up approximately 4.5% of total DNA in cells and encodes nearly 1,200 genes. Several protein-coding genes, including those that encode for chemokines, cadherins, excision repair proteins, early growth response factors (Egrs) and fibroblast growth receptors (FGFRs), are located on chromosome 10. Defects in some of the genes that map to chromosome 10 are associated with Charcot-Marie Tooth disease, Jackson-Weiss syndrome, Usher syndrome, nonsyndromatic deafness, Wolman’s syndrome, Cowden syndrome, multiple endocrine neoplasia type 2 and porphyria.