Warehouse Overstock Promotion |  Save 10%  on Premium Lab Supplies |  Shop Now

Menu

This product has been added to the cart.

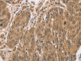
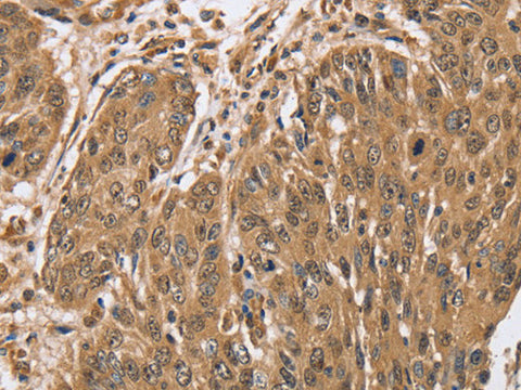
PTPN20 Polyclonal Antibody Store at -20°C

SKU: E-AB-13542-200

  • $ 55995
  • Save $ 4000


Request a Quote

PTPN20 Polyclonal Antibody Store at -20°C

 

SKU # E-AB-13542
Reactivity Human
Host Rabbit
Applications IHC

 

Product Details

Isotype IgG
Host Rabbit
Reactivity Human
Applications IHC
Clonality Polyclonal
Immunogen Synthetic peptide of human PTPN20A/PTPN20B
Abbre PTPN20
Synonyms PTN20,  PTP Typ,  PTPN20A,  PTPN20B,  Protein tyrosine phosphatase non receptor type 20,  Ptpn20,  Tyrosine-protein phosphatase non-receptor type 20,  bA42B19.1,  hPTPN20
Swissprot
Cellular Localization Nucleus. Cytoplasm. Cytoplasm>cytoskeleton>centrosome. Colocalizes with the microtubule-organizing center and intracellular membrane compartments.
Concentration 0.6 mg/mL
Buffer Phosphate buffered solution, pH 7.4, containing 0.05% stabilizer and 50% glycerol.
Purification Method Affinity purification
Research Areas Signal Transduction
Conjugation Unconjugated
Storage Store at -20°C Valid for 12 months. Avoid freeze / thaw cycles.
Shipping The product is shipped with ice pack, upon receipt, store it immediately at the temperature recommended.

 

Related Reagents

Applications Recommended Dilution
IHC 1:100-1:300

 

Background

The product of this gene belongs to the family of classical tyrosine-specific protein tyrosine phosphatases. Many protein tyrosine phosphatases have been shown to regulate fundamental cellular processes. The encoded protein appears to be targeted to sites of actin polymerization. A pseudogene of this gene has been defined on chromosome 10. Alternative splicing results in multiple transcript variants.