Warehouse Overstock Promotion |  Save 10%  on Premium Lab Supplies |  Shop Now

Menu

This product has been added to the cart.

PPIC Polyclonal Antibody Reactivity Human

SKU: E-AB-53088-200

  • $ 55995
  • Save $ 4000


Request a Quote

PPIC Polyclonal Antibody Reactivity Human

 

SKU # E-AB-53088
Reactivity Human, Mouse
Host Rabbit
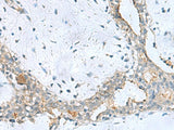
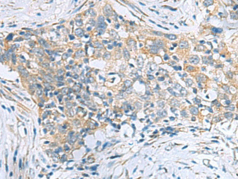
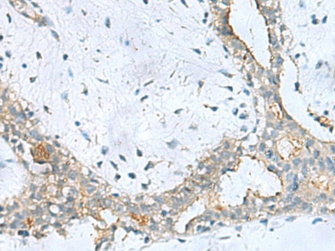
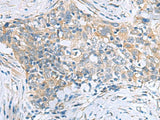
Applications WB, IHC

 

Product Details

Isotype IgG
Host Rabbit
Reactivity Human, Mouse
Applications WB, IHC
Clonality Polyclonal
Immunogen Fusion protein of human PPIC
Abbre PPIC
Synonyms CYPC,  Cyclophilin C,  MGC3673,  PPIC,  PPIase C,  Parvulin,  Peptidyl prolyl cis trans isomerase C,  Peptidyl-prolyl cis-trans isomerase C,  Peptidylprolyl isomerase C (cyclophilin C),  Rotamase C,  peptidylprolyl isomerase C,  ppiC
Swissprot
Calculated MW 23 kDa
Observed MW Refer to figures
Cellular Localization Cytoplasm.
Concentration 0.72 mg/mL
Buffer Phosphate buffered solution, pH 7.4, containing 0.05% stabilizer and 50% glycerol.
Purification Method Antigen affinity purification
Research Areas Cancer,  Immunology,  Signal transduction
Conjugation Unconjugated
Storage Store at -20°C Valid for 12 months. Avoid freeze / thaw cycles.
Shipping The product is shipped with ice pack, upon receipt, store it immediately at the temperature recommended.

 

Related Reagents

Applications Recommended Dilution
WB 1:500-1:2000
IHC 1:50-1:100

 

Background

The protein encoded by this gene is a member of the peptidyl-prolyl cis-trans isomerase (PPIase)) family. PPIases catalyze the cis-trans isomerization of proline imidic peptide bonds in oligopeptides and accelerate the folding of proteins. Similar to other PPIases, this protein can bind immunosuppressant cyclosporin A.