Warehouse Overstock Promotion |  Save 10%  on Premium Lab Supplies |  Shop Now

Menu

This product has been added to the cart.

PLZF Polyclonal Antibody

SKU: E-AB-93386-200

  • $ 67795
  • Save $ 5300


Request a Quote

PLZF Polyclonal Antibody

 

SKU # E-AB-93386
Reactivity Human, Mouse, Rat
Host Rabbit
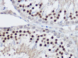
Applications WB, IHC

 

Product Details

Isotype IgG
Host Rabbit
Reactivity Human, Mouse, Rat
Applications WB, IHC
Clonality Polyclonal
Immunogen Recombinant fusion protein of human PLZF
Abbre PLZF
Synonyms PLZF,  ZBTB16,  ZNF145
Swissprot
Calculated MW 61 kDa/74 kDa
Observed MW 80 kDa
Cellular Localization Nucleus
Concentration 1 mg/mL
Buffer Phosphate buffered solution, pH 7.4, containing 0.05% stabilizer and 50% glycerol.
Purification Method Affinity purification
Research Areas Cancer,  Epigenetics and Nuclear Signaling,  Developmental Biology,  Stem Cells
Conjugation Unconjugated
Storage Store at -20°C Valid for 12 months. Avoid freeze / thaw cycles.
Shipping The product is shipped with ice pack,upon receipt,store it immediately at the temperature recommended.

 

Related Reagents

Applications Recommended Dilution
WB 1:500-1:1000
IHC 1:50-1:100

 

Background

This gene is a member of the Krueppel C2H2-type zinc-finger protein family and encodes a zinc finger transcription factor that contains nine Kruppel-type zinc finger domains at the carboxyl terminus. This protein is located in the nucleus, is involved in cell cycle progression, and interacts with a histone deacetylase. Specific instances of aberrant gene rearrangement at this locus have been associated with acute promyelocytic leukemia (APL). Alternate transcriptional splice variants have been characterized.