Warehouse Overstock Promotion |  Save 10%  on Premium Lab Supplies |  Shop Now

Menu

This product has been added to the cart.

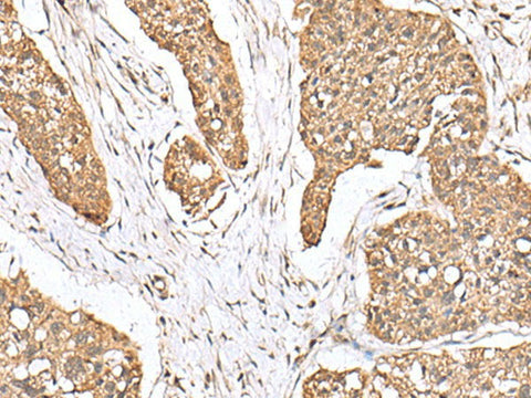
PLA2G2A Polyclonal Antibody Reactivity Human

SKU: E-AB-53043-200

  • $ 55995
  • Save $ 4000


Request a Quote

PLA2G2A Polyclonal Antibody Reactivity Human

 

SKU # E-AB-53043
Reactivity Human
Host Rabbit
Applications IHC

 

Product Details

Isotype IgG
Host Rabbit
Reactivity Human
Applications IHC
Clonality Polyclonal
Immunogen Fusion protein of human PLA2G2A
Abbre PLA2G2A
Synonyms group IIA (plat,  GIIC sPLA2,  Group IIA phospholipase A2,  MOM1,  NPS-PLA2,  Non-pancreatic secretory phospholipase A2,  OTTHUMP00000002786,  PA2GA,  Phosphatidylcholine 2-acylhydrolase 2A,  Phospholipase A2,  Phospholipase A2 group IIA,  membrane associated
Swissprot
Cellular Localization Membrane.
Concentration 0.96 mg/mL
Buffer Phosphate buffered solution, pH 7.4, containing 0.05% stabilizer and 50% glycerol.
Purification Method Antigen affinity purification
Research Areas Cancer,  Cardiovascular,  Metabolism,  Signal transduction
Conjugation Unconjugated
Storage Store at -20°C Valid for 12 months. Avoid freeze / thaw cycles.
Shipping The product is shipped with ice pack, upon receipt, store it immediately at the temperature recommended.

 

Related Reagents

Applications Recommended Dilution
IHC 1:50-1:200

 

Background

The protein encoded by this gene is a member of the phospholipase A2 family (PLA2). PLA2s constitute a diverse family of enzymes with respect to sequence, function, localization, and divalent cation requirements. This gene product belongs to group II, which contains secreted form of PLA2, an extracellular enzyme that has a low molecular mass and requires calcium ions for catalysis. It catalyzes the hydrolysis of the sn-2 fatty acid acyl ester bond of phosphoglycerides, releasing free fatty acids and lysophospholipids, and thought to participate in the regulation of the phospholipid metabolism in biomembranes. Several alternatively spliced transcript variants with different 5' UTRs have been found for this gene.