Warehouse Overstock Promotion |  Save 10%  on Premium Lab Supplies |  Shop Now

Menu

This product has been added to the cart.

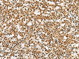
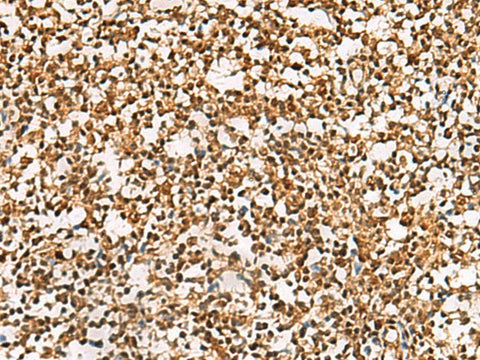
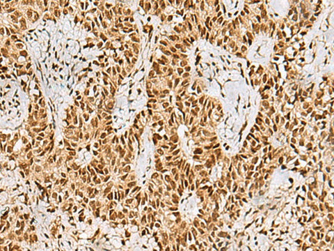
PHF5A Polyclonal Antibody Reactivity Human

SKU: E-AB-53018-200

  • $ 55995
  • Save $ 4000


Request a Quote

PHF5A Polyclonal Antibody Reactivity Human

 

SKU # E-AB-53018
Reactivity Human, Mouse, Rat
Host Rabbit
Applications WB, IHC

 

Product Details

Isotype IgG
Host Rabbit
Reactivity Human, Mouse, Rat
Applications WB, IHC
Clonality Polyclonal
Immunogen Fusion protein of human PHF5A
Abbre PHF5A
Synonyms 1110007B08Rik,  Ac2 246,  INI,  MGC1346,  OTTHUMP00000198827,  PHD finger 5a,  PHD finger like domain containing protein 5A,  PHD finger like domain protein 5A,  PHD finger protein 5A ,  PHD finger-like domain protein 5A,  PHD finger-like domain-containing protein ,  bK223H9.2
Swissprot
Calculated MW 12 kDa
Observed MW Refer to figures
Cellular Localization Nucleus. Nucleus speckle.
Concentration 0.96 mg/mL
Buffer Phosphate buffered solution, pH 7.4, containing 0.05% stabilizer and 50% glycerol.
Purification Method Antigen affinity purification
Conjugation Unconjugated
Storage Store at -20°C Valid for 12 months. Avoid freeze / thaw cycles.
Shipping The product is shipped with ice pack, upon receipt, store it immediately at the temperature recommended.

 

Related Reagents

Applications Recommended Dilution
WB  1:500-1:2000
IHC 1:50-1:200

 

Background

This gene encodes a subunit of the splicing factor 3b protein complex. Splicing factor 3b, together with splicing factor 3a and a 12S RNA unit, forms the U2 small nuclear ribonucleoproteins complex (U2 snRNP). The splicing factor 3b/3a complex binds pre-mRNA upstream of the intron's branch site in a sequence-independent manner and may anchor the U2 snRNP to the pre-mRNA. The protein encoded by this gene contains a PHD-finger-like domain that is flanked by highly basic N- and C-termini. This protein belongs to the PHD-finger superfamily and may act as a chromatin-associated protein. This gene has several pseudogenes on different chromosomes.