Warehouse Overstock Promotion |  Save 10%  on Premium Lab Supplies |  Shop Now

Menu

This product has been added to the cart.

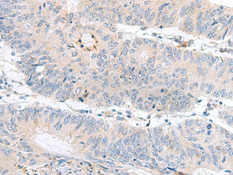
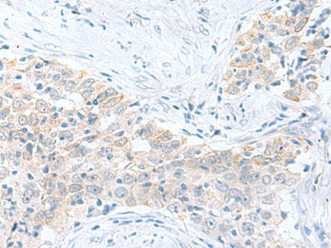
PDE6D Polyclonal Antibody Reactivity Human

SKU: E-AB-53046-200

  • $ 55995
  • Save $ 4000


Request a Quote

PDE6D Polyclonal Antibody Reactivity Human

 

SKU # E-AB-53046
Reactivity Human, Mouse
Host Rabbit
Applications IHC

 

Product Details

Isotype IgG
Host Rabbit
Reactivity Human, Mouse
Applications IHC
Clonality Polyclonal
Immunogen Fusion protein of human PDE6D
Abbre PDE6D
Synonyms 5''-cyclic phosphodiesterase subunit delta,  GMP PDE delta,  GMP-PDE delta,  PDE 6,  PDE 6D,  PDE D,  PDE6,  PDE6D,  PDED,  Phosphodiesterase 6D cGMP specific,  Phosphodiesterase 6D cGMP specific rod delta,  Protein p17,  Retinal rod photoreceptor cGMP phosphod,  p17 protein
Swissprot
Concentration 1.08 mg/mL
Buffer Phosphate buffered solution, pH 7.4, containing 0.05% stabilizer and 50% glycerol.
Purification Method Antigen affinity purification
Research Areas Cancer,  Signal transduction
Conjugation Unconjugated
Storage Store at -20°C Valid for 12 months. Avoid freeze / thaw cycles.
Shipping The product is shipped with ice pack, upon receipt, store it immediately at the temperature recommended.

 

Related Reagents

Applications Recommended Dilution
IHC 1:50-1:200

 

Background

This gene encodes the delta subunit of rod-specific photoreceptor phosphodiesterase (PDE), a key enzyme in the phototransduction cascade. A similar protein in cow functions in solubilizing membrane-bound PDE. In addition to its role in the PDE complex, the encoded protein is thought to bind to prenyl groups of proteins to target them to subcellular organelles called cilia. Mutations in this gene are associated with Joubert syndrome-22. Alternative splicing results in multiple splice variants.