Warehouse Overstock Promotion |  Save 10%  on Premium Lab Supplies |  Shop Now

Menu

This product has been added to the cart.

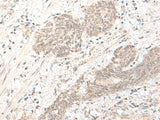
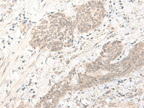
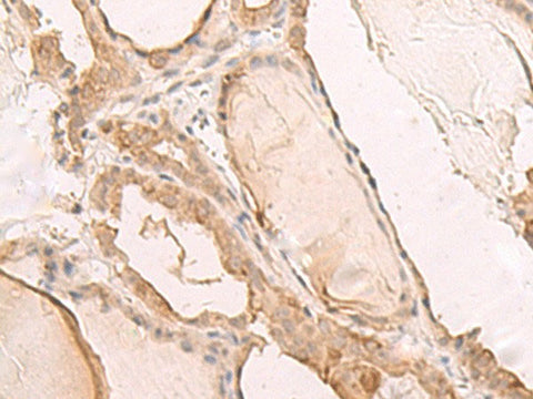
PBXIP1 Polyclonal Antibody Reactivity Human

SKU: E-AB-52665-200

  • $ 55995
  • Save $ 4000


Request a Quote

PBXIP1 Polyclonal Antibody Reactivity Human

 

SKU # E-AB-52665
Reactivity Human
Host Rabbit
Applications IHC

 

Product Details

Isotype IgG
Host Rabbit
Reactivity Human
Applications IHC
Clonality Polyclonal
Immunogen Fusion protein of human PBXIP1
Abbre PBXIP1
Synonyms 4732463H20Rik,  HPIP ,  Hematopoietic PBX interacting protein ,  MGC38361,  Pre B cell leukemia homeobox interacting protein 1,  RP11-307C12.2
Swissprot
Cellular Localization Cytoplasm, cytoskeleton. Nucleus. Note=Shuttles between the nucleus and the cytosol. Mainly localized in the cytoplasm, associated with microtubules. Detected in small amounts in the nucleus.
Concentration 0.66 mg/mL
Buffer Phosphate buffered solution, pH 7.4, containing 0.05% stabilizer and 50% glycerol.
Purification Method Antigen affinity purification
Research Areas Epigenetics and Nuclear Signaling,  Signal transduction
Conjugation Unconjugated
Storage Store at -20°C Valid for 12 months. Avoid freeze / thaw cycles.
Shipping The product is shipped with ice pack, upon receipt, store it immediately at the temperature recommended.

 

Related Reagents

Applications Recommended Dilution
IHC 1:30-1:150

 

Background

The protein encoded by this gene interacts with the PBX1 homeodomain protein, inhibiting its transcriptional activation potential by preventing its binding to DNA. The encoded protein, which is primarily cytosolic but can shuttle to the nucleus, also can interact with estrogen receptors alpha and beta and promote the proliferation of breast cancer, brain tumors, and lung cancer. Several transcript variants encoding different isoforms have been found for this gene. More variants exist, but their full-length natures have yet to be determined.