Warehouse Overstock Promotion |  Save 10%  on Premium Lab Supplies |  Shop Now

Menu

This product has been added to the cart.

PAPPA Polyclonal Antibody Store at -20°C

SKU: E-AB-13489-200

  • $ 55995
  • Save $ 4000


Request a Quote

PAPPA Polyclonal Antibody Store at -20°C

 

SKU # E-AB-13489
Reactivity Human, Mouse
Host Rabbit
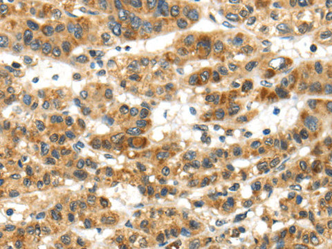
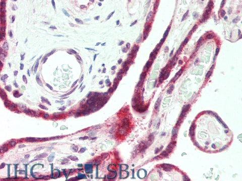
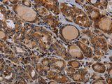
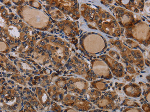
Applications IHC

 

Product Details

Isotype IgG
Host Rabbit
Reactivity Human, Mouse
Applications IHC
Clonality Polyclonal
Immunogen Synthetic peptide of human PAPPA
Abbre PAPPA
Synonyms ASBABP2,  Aspecific BCL2 ARE binding protein 2,  DIPLA1,  Differentially placenta 1 expressed protein,  EC 3.4.24.79,  IGF dependent IGFBP 4 protease,  IGF-dependent IGFBP-4 protease,  IGFBP 4ase,  IGFBP-4ase,  IGFBP4ase,  Insulin like growth factor dependent IGF binding pro
Swissprot
Cellular Localization Secreted.
Concentration 0.4 mg/mL
Buffer Phosphate buffered solution, pH 7.4, containing 0.05% stabilizer and 50% glycerol.
Purification Method Affinity purification
Research Areas Cell Biology,  Cardiovascular
Conjugation Unconjugated
Storage Store at -20°C Valid for 12 months. Avoid freeze / thaw cycles.
Shipping The product is shipped with ice pack, upon receipt, store it immediately at the temperature recommended.

 

Related Reagents

Applications Recommended Dilution
IHC  1:50-1:200

 

Background

This gene encodes a secreted metalloproteinase which cleaves insulin-like growth factor binding proteins (IGFBPs). It is thought to be involved in local proliferative processes such as wound healing and bone remodeling. Low plasma level of this protein has been suggested as a biochemical marker for pregnancies with aneuploid fetuses.