Warehouse Overstock Promotion |  Save 10%  on Premium Lab Supplies |  Shop Now

Menu

This product has been added to the cart.

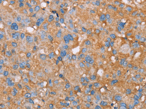
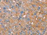
PAGE5 Polyclonal Antibody Store at -20°C

SKU: E-AB-15279-200

  • $ 55995
  • Save $ 4000


Request a Quote

PAGE5 Polyclonal Antibody Store at -20°C

 

SKU # E-AB-15279
Reactivity Human
Host Rabbit
Applications IHC

 

Product Details

Isotype IgG
Host Rabbit
Reactivity Human
Applications IHC
Clonality Polyclonal
Immunogen Recombinant protein of human PAGE5
Abbre PAGE5
Synonyms 1,  CT16,  CT16.1,  CT16.2,  Cancer/testis antigen 16.1,  G antigen,  G antigen family E member 1,  GAGEE1,  GGEE1,  P antigen family,  PAGE-5,  PAGE5,  Pros,  cancer/testis antigen family 16,  family E,  member 1,  member 2,  member 5 (prostate associated)
Swissprot
Concentration 1.9 mg/mL
Buffer Phosphate buffered solution, pH 7.4, containing 0.05% stabilizer and 50% glycerol.
Purification Method Affinity purification
Research Areas Cell Biology
Conjugation Unconjugated
Storage Store at -20°C Valid for 12 months. Avoid freeze / thaw cycles.
Shipping The product is shipped with ice pack,upon receipt,store it immediately at the temperature recommended.

 

Related Reagents

Applications Recommended Dilution
IHC 1:50-1:200

 

Background

This gene is a member of the GAGE family, which is expressed in a variety of tumors and in some fetal and reproductive tissues. The protein encoded by this gene shares a sequence similarity with other GAGE/PAGE proteins. It may also belong to a family of CT (cancer-testis) antigens. Multiple alternatively spliced transcript variants encoding distinct isoforms have been found for this gene, but the biological validity of some variants have not been determined.