Warehouse Overstock Promotion |  Save 10%  on Premium Lab Supplies |  Shop Now

Menu

This product has been added to the cart.

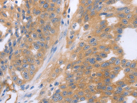
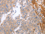
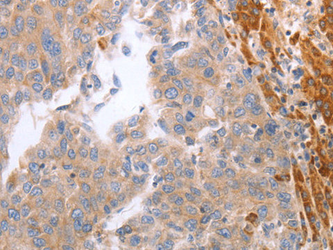
NRTN Polyclonal Antibody

SKU: E-AB-12824-200

  • $ 55995
  • Save $ 4000


Request a Quote

NRTN Polyclonal Antibody

 

SKU # E-AB-12824
Reactivity Human, Mouse
Host Rabbit
Applications IHC

 

Product Details

Isotype IgG
Host Rabbit
Reactivity Human, Mouse
Applications IHC
Clonality Polyclonal
Immunogen Synthetic peptide of human NRTN
Abbre NRTN
Synonyms NRTN,  NTN,  Neurturin,  Neurturin precursor,  prepro-neurturin
Swissprot
Cellular Localization Secreted.
Concentration 0.4 mg/mL
Buffer Phosphate buffered solution, pH 7.4, containing 0.05% stabilizer and 50% glycerol.
Purification Method Affinity purification
Research Areas Cancer,  Neuroscience
Conjugation Unconjugated
Storage Store at -20°C Valid for 12 months. Avoid freeze / thaw cycles.
Shipping The product is shipped with ice pack,upon receipt,store it immediately at the temperature recommended.

 

Related Reagents

Applications Recommended Dilution
IHC 1:50-1:200

 

Background

Neurturin is a member of the TGF-beta subfamily, TRN. This gene signals through RET and a GPI-linked coreceptor, and promotes survival of neuronal populations. A neurturin mutation has been described in a family with Hirschsprung Disease.