Warehouse Overstock Promotion |  Save 10%  on Premium Lab Supplies |  Shop Now

Menu

This product has been added to the cart.

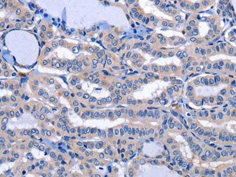
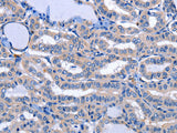
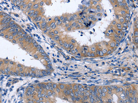
NPPB Polyclonal Antibody Store at -20°C

SKU: E-AB-12298-200

  • $ 55995
  • Save $ 4000


Request a Quote

NPPB Polyclonal Antibody Store at -20°C

 

SKU # E-AB-12298
Reactivity Human
Host Rabbit
Applications IHC

 

Product Details

Isotype IgG
Host Rabbit
Reactivity Human
Applications IHC
Clonality Polyclonal
Immunogen Synthetic peptide of human NPPB
Abbre NPPB
Synonyms ANFB,  BNP,  BNP(1-32),  BNP(5-29),  BNP-32,  Brain type natriuretic peptide,  Gamma brain natriuretic peptide,  Gamma-brain natriuretic peptide,  NT proBNP,  Natriuretic peptide precursor B,  nppb
Swissprot
Cellular Localization Secreted.
Concentration 0.5 mg/mL
Buffer Phosphate buffered solution, pH 7.4, containing 0.05% stabilizer and 50% glycerol.
Purification Method Affinity purification
Research Areas Cancer,  Cardiovascular,  Neuroscience
Conjugation Unconjugated
Storage Store at -20°C Valid for 12 months. Avoid freeze / thaw cycles.
Shipping The product is shipped with ice pack,upon receipt,store it immediately at the temperature recommended.

 

Related Reagents

Applications Recommended Dilution
IHC 1:40-1:150

 

Background

This gene is a member of the natriuretic peptide family and encodes a secreted protein which functions as a cardiac hormone. The protein undergoes two cleavage events, one within the cell and a second after secretion into the blood. The protein's biological actions include natriuresis, diuresis, vasorelaxation, inhibition of renin and aldosterone secretion, and a key role in cardiovascular homeostasis. A high concentration of this protein in the bloodstream is indicative of heart failure. Mutations in this gene have been associated with postmenopausal osteoporosis.