Warehouse Overstock Promotion |  Save 10%  on Premium Lab Supplies |  Shop Now

Menu

This product has been added to the cart.

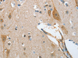
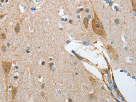
NOL3 Polyclonal Antibody Store at -20°C

SKU: E-AB-14591-200

  • $ 55995
  • Save $ 4000


Request a Quote

NOL3 Polyclonal Antibody Store at -20°C

 

SKU # E-AB-14591
Reactivity Human
Host Rabbit
Applications IHC

 

Product Details

Isotype IgG
Host Rabbit
Reactivity Human
Applications IHC
Clonality Polyclonal
Immunogen Recombinant protein of human NOL3
Abbre NOL3
Synonyms ARC,  Apoptosis repressor with CARD,  MYC,  MYP,  Muscle enriched cytoplasmic protein,  Muscle-enriched cytoplasmic protein,  NOL3,  NOP,  Nol3,  Nop30,  Nucleolar protein 3,  Nucleolar protein 3 (apoptosis repressor with CARD domain),  Nucleolar protein of 30 kDa
Swissprot
Cellular Localization Cytoplasm and Nucleus>nucleolus.
Concentration 0.3 mg/mL
Buffer Phosphate buffered solution, pH 7.4, containing 0.05% stabilizer and 50% glycerol.
Purification Method Affinity purification
Research Areas Cell Biology
Conjugation Unconjugated
Storage Store at -20°C Valid for 12 months. Avoid freeze / thaw cycles.
Shipping The product is shipped with ice pack,upon receipt,store it immediately at the temperature recommended.

 

Related Reagents

Applications Recommended Dilution
IHC 1:50-1:200

 

Background

This gene encodes an anti-apoptotic protein that has been shown to down-regulate the enzyme activities of caspase 2, caspase 8 and tumor protein p53. Multiple transcript variants encoding different isoforms have been found for this gene. Arc has been shown to localize to the cytoskeleton of neuronal cells and appears to colocalize with F-Actin, although it may associate with an Actin-associated protein rather than directly with F-Actin. It has been shown that cocaine-stimulated neuronal activity results in increased Arc mRNA levels in striatum.