Warehouse Overstock Promotion |  Save 10%  on Premium Lab Supplies |  Shop Now

Menu

This product has been added to the cart.

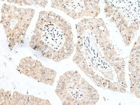
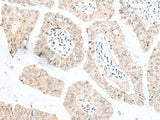
NGEF Polyclonal Antibody Reactivity Human

SKU: E-AB-52771-200

  • $ 55995
  • Save $ 4000


Request a Quote

NGEF Polyclonal Antibody Reactivity Human

 

SKU # E-AB-52771
Reactivity Human, Mouse, Rat
Host Rabbit
Applications WB, IHC

 

Product Details

Isotype IgG
Host Rabbit
Reactivity Human, Mouse, Rat
Applications WB, IHC
Clonality Polyclonal
Immunogen Fusion protein of human NGEF
Abbre NGEF
Synonyms neuronal,  ARHGEF27,  EPHEXIN,  Eph receptor-interacting exchange protein,  Eph-interacting exchange protein,  Ephexin-1,  Guanine nucleotide exchange factor,  NGEF,  Neuronal guanine nucleotide exchange factor,  Ngef
Swissprot
Calculated MW 82 kDa
Observed MW Refer to figures
Cellular Localization Cytoplasm. Membrane. Cell projection>growth cone. Associated with membranes. Localizes to axonal growth cones.
Concentration 0.6 mg/mL
Buffer Phosphate buffered solution, pH 7.4, containing 0.05% stabilizer and 50% glycerol.
Purification Method Antigen affinity purification
Research Areas Neuroscience,  Signal transduction
Conjugation Unconjugated
Storage Store at -20°C Valid for 12 months. Avoid freeze / thaw cycles.
Shipping The product is shipped with ice pack, upon receipt, store it immediately at the temperature recommended.

 

Related Reagents

Applications Recommended Dilution
WB  1:500-1:2000
IHC  1:30-1:150

 

Background

Acts as a guanine nucleotide exchange factor (GEF) which differentially activates the GTPases RHOA, RAC1 and CDC42. Plays a role in axon guidance regulating ephrin-induced growth cone collapse and dendritic spine morphogenesis. Upon activation by ephrin through EPHA4, the GEF activity switches toward RHOA resulting in its activation. Activated RHOA promotes cone retraction at the expense of RAC1- and CDC42-stimulated growth cone extension (By similarity).