Warehouse Overstock Promotion |  Save 10%  on Premium Lab Supplies |  Shop Now

Menu

This product has been added to the cart.

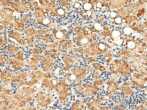
NEGR1 Polyclonal Antibody Reactivity Human

SKU: E-AB-52861-200

  • $ 55995
  • Save $ 4000


Request a Quote

NEGR1 Polyclonal Antibody Reactivity Human

 

SKU # E-AB-52861
Reactivity Human, Mouse, Rat
Host Rabbit
Applications IHC

 

Product Details

Isotype IgG
Host Rabbit
Reactivity Human, Mouse, Rat
Applications IHC
Clonality Polyclonal
Immunogen Fusion protein of human NEGR1
Abbre NEGR1
Synonyms A kindred of IgLON,  DMML2433,  IGLON4,  IgLON family member 4,  KILON,  MGC46680,  Neuronal growth regulator 1,  Neurotractin,  Ntra,  PRO4993,  UNQ2433
Swissprot
Cellular Localization Cell membrane, Lipid-anchor, GPI-anchor.
Concentration 0.78 mg/mL
Buffer Phosphate buffered solution, pH 7.4, containing 0.05% stabilizer and 50% glycerol.
Purification Method Antigen affinity purification
Research Areas Metabolism,  Developmental Biology,  Neuroscience
Conjugation Unconjugated
Storage Store at -20°C Valid for 12 months. Avoid freeze / thaw cycles.
Shipping The product is shipped with ice pack, upon receipt, store it immediately at the temperature recommended.

 

Related Reagents

Applications Recommended Dilution
IHC  1:50-1:300

 

Background

NEGR1 (Neuronal Growth Regulator 1) is a Protein Coding gene. Diseases associated with NEGR1 include Podoconiosis. Among its related pathways are Post-translational modification- synthesis of GPI-anchored proteins and Metabolism of proteins. An important paralog of this gene is LSAMP.