Warehouse Overstock Promotion |  Save 10%  on Premium Lab Supplies |  Shop Now

Menu

This product has been added to the cart.

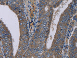
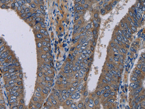
NECTIN4 Polyclonal Antibody Store at -20°C

SKU: E-AB-15250-200

  • $ 55995
  • Save $ 4000


Request a Quote

NECTIN4 Polyclonal Antibody Store at -20°C

 

SKU # E-AB-15250
Reactivity Human,  Mouse
Host Rabbit
Applications IHC

 

Product Details

Isotype IgG
Host Rabbit
Reactivity Human,  Mouse
Applications IHC
Clonality Polyclonal
Immunogen Recombinant protein of human PVRL4
Abbre NECTIN4
Synonyms DKFZp686K05193,  EDSS1,  Ig superfamily receptor LNIR,  Nectin 4,  Nectin-4,  PRR4,  PVRL4,  Processed poliovirus receptor-related protein 4,  poliovirus receptor-related 4,  pvrl4
Swissprot
Cellular Localization Cell membrane. Cell junction>adherens junction. Colocalizes with MLLT4 at cadherin-based adherens junctions and Secreted. The secreted form is found in breast tumor patients.
Concentration 0.4 mg/mL
Buffer Phosphate buffered solution, pH 7.4, containing 0.05% stabilizer and 50% glycerol.
Purification Method Affinity purification
Research Areas Cell Biology
Conjugation Unconjugated
Storage Store at -20°C Valid for 12 months. Avoid freeze / thaw cycles.
Shipping The product is shipped with ice pack,upon receipt,store it immediately at the temperature recommended.

 

Related Reagents

Applications Recommended Dilution
IHC 1:50-1:200

 

Background

This gene encodes a member of the nectin family.The encoded protein contains two immunoglobulin-like (Ig-like) C2-type domains and one Ig-like V-type domain.It is involved in cell adhesion through trans-homophilic and -heterophilic interactions.It is a single-pass type I membrane protein.The soluble form is produced by proteolytic cleavage at the cell surface by the metalloproteinase ADAM17/TACE.The secreted form is found in both breast tumor cell lines and breast tumor patients.