Warehouse Overstock Promotion |  Save 10%  on Premium Lab Supplies |  Shop Now

Menu

This product has been added to the cart.

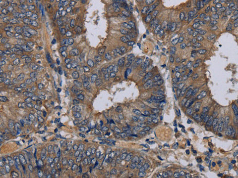
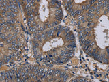
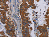
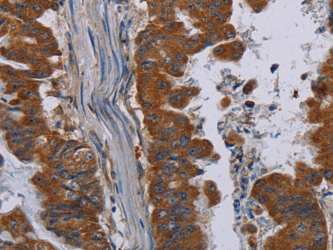
NECTIN3 Polyclonal Antibody

SKU: E-AB-11439-200

  • $ 55995
  • Save $ 4000


Request a Quote

NECTIN3 Polyclonal Antibody

 

SKU # E-AB-11439
Reactivity Human, Mouse
Host Rabbit
Applications IHC

 

Product Details

Isotype IgG
Host Rabbit
Reactivity Human, Mouse
Applications IHC
Clonality Polyclonal
Immunogen Recombinant protein of human PVRL3
Abbre NECTIN3
Synonyms CD113,  CDw113,  DKFZP566B0846,  FLJ90624,  Nectin-3,  Nectin3,  PPR3,  PRR3,  PVRL3,  PVRR3,  Poliovirus receptor related 3,  Poliovirus receptor related protein 3,  Poliovirus receptor-like 3,  Poliovirus receptor-related protein 3,  Pvrl3
Swissprot
Cellular Localization Cell membrane.
Concentration 0.4 mg/mL
Buffer Phosphate buffered solution, pH 7.4, containing 0.05% stabilizer and 50% glycerol.
Purification Method Affinity purification
Research Areas Immunology,  Microbiology
Conjugation Unconjugated
Storage Store at -20°C Valid for 12 months. Avoid freeze / thaw cycles.
Shipping The product is shipped with ice pack,upon receipt,store it immediately at the temperature recommended.

 

Related Reagents

Applications Recommended Dilution
IHC 1:50-1:200

 

Background

This gene encodes a member of the nectin family of proteins, which function as adhesion molecules at adherens junctions. This family member interacts with other nectin-like proteins and with afadin, a filamentous actin-binding protein involved in the regulation of directional motility, cell proliferation and survival. This gene plays a role in ocular development involving the ciliary body. Mutations in this gene are believed to result in congenital ocular defects. Alternative splicing results in multiple transcript variants.