Warehouse Overstock Promotion |  Save 10%  on Premium Lab Supplies |  Shop Now

Menu

This product has been added to the cart.

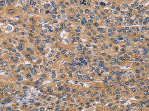
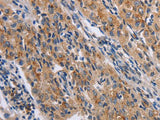
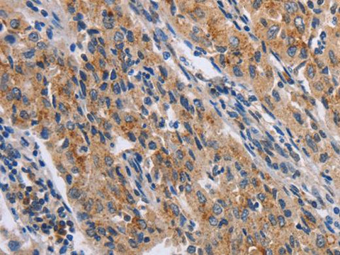
NCR2 Polyclonal Antibody Store at -20°C Host Rabbit

SKU: E-AB-16313-200

  • $ 55995
  • Save $ 4000


Request a Quote

NCR2 Polyclonal Antibody Store at -20°C Host Rabbit

 

SKU # E-AB-16313
Reactivity Human
Host Rabbit
Applications IHC

 

Product Details

Isotype IgG
Host Rabbit
Reactivity Human
Applications IHC
Clonality Polyclonal
Immunogen Synthetic peptide of human NCR2
Abbre NCR2
Synonyms Activating NK receptor NKp44,  CD336,  CD336 antigen,  LY95,  Lymphocyte antigen 95,  Lymphocyte antigen 95 (activating NK receptor,  Lymphocyte antigen 95 homolog,  Lymphocyte antigen 95 homolog (activating NK receptor,  NK p44),  Natur,  dJ149M18.1,  homolog of,  mouse
Swissprot
Cellular Localization Cell membrane.
Concentration 0.7 mg/mL
Buffer Phosphate buffered solution, pH 7.4, containing 0.05% stabilizer and 50% glycerol.
Purification Method Affinity purification
Research Areas Cancer, Immunology, Signal transduction
Conjugation Unconjugated
Storage Store at -20°C Valid for 12 months. Avoid freeze / thaw cycles.
Shipping The product is shipped with ice pack,upon receipt,store it immediately at the temperature recommended.

 

Related Reagents

Applications Recommended Dilution
IHC 1:50-1:200

 

Background

Natural cytotoxicity triggering receptor 2 is a protein that in humans is encoded by the NCR2 gene.NCR2 has also been designated as CD336 (cluster of differentiation 336).NKp44 is a natural cytotoxicity receptor that is is expressed on IL-2-activated human NK cells and may contribute to the increased efficiency of NK cells to mediate tumor cell lysis.NKp44 is composed of one Ig-like extracellular domain, a transmembrane segment, and a cytoplasmic domain.Prolactin up-regulates and cortisol down-regulates the surface expression of NKp44 at the transcriptional level.A cellular ligand for NKp44 (NKp44L) is expressed during HIV-1 infection and is correlated with the progression of CD4+ T cell depletion and an increase of viral load.