Warehouse Overstock Promotion |  Save 10%  on Premium Lab Supplies |  Shop Now

Menu

This product has been added to the cart.

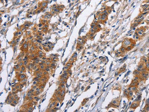
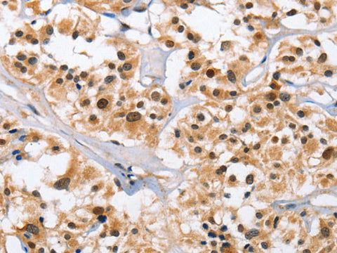
NCAPD3 Polyclonal Antibody

SKU: E-AB-11028-200

  • $ 33995
  • Save $ 6000


Request a Quote

NCAPD3 Polyclonal Antibody

 

SKU # E-AB-11028
Reactivity Human
Host Rabbit
Applications IHC

 

Product Details

Isotype IgG
Host Rabbit
Reactivity Human
Applications IHC
Clonality Polyclonal
Immunogen Recombinant protein of human NCAPD3
Abbre NCAPD3
Synonyms CAP D3,  CAPD 3,  CAPD3,  CNDD3,  Condensin II complex subunit D3,  Condensin-2 complex subunit D3,  FLJ42888,  Hcp 6,  Hcp6,  KIAA0056,  MGC104671,  NCAPD 3,  Ncapd3,  Non SMC condensin II complex subunit D3,  Non-SMC condensin II complex subunit D3,  OTTHUMP0000,  hCAP-D3,  hHCP 6,  hHCP6
Swissprot
Cellular Localization Nucleus.
Concentration 0.4 mg/mL
Buffer Phosphate buffered solution, pH 7.4, containing 0.05% stabilizer and 50% glycerol.
Purification Method Affinity purification
Research Areas Cell Biology,  Epigenetics and Nuclear Signaling
Conjugation Unconjugated
Storage Store at -20°C Valid for 12 months. Avoid freeze / thaw cycles.
Shipping The product is shipped with ice pack,upon receipt,store it immediately at the temperature recommended.

 

Related Reagents

Applications Recommended Dilution
IHC 1:50-1:200

 

Background

Condensin complexes I and II play essential roles in mitotic chromosome assembly and segregation. Both condensins contain 2 invariant structural maintenance of chromosome (SMC) subunits, SMC2 and SMC4, but they contain different sets of non-SMC subunits. NCAPD3 is 1 of 3 non-SMC subunits that define condensin II.