Warehouse Overstock Promotion |  Save 10%  on Premium Lab Supplies |  Shop Now

Menu

This product has been added to the cart.

NADPH Oxidase 4 (NOX4) Polyclonal Antibody

SKU: E-AB-93356-200

  • $ 67795
  • Save $ 5300


Request a Quote

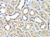
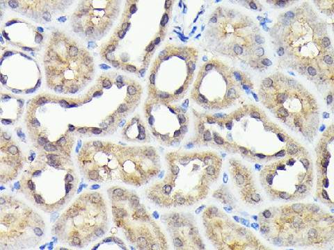
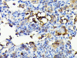
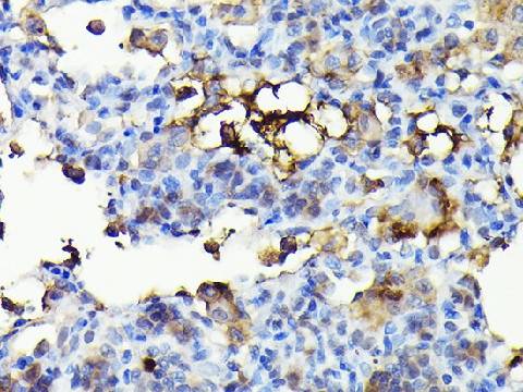
NADPH Oxidase 4 (NOX4) Polyclonal Antibody

 

SKU # E-AB-93356
Reactivity Mouse, Rat
Host Rabbit
Applications WB, IHC

 

Product Details

Isotype IgG
Host Rabbit
Reactivity Mouse, Rat
Applications WB, IHC
Clonality Polyclonal
Immunogen Recombinant fusion protein of human NADPH oxidase 4
Abbre NADPH oxidase 4 (NOX4)
Synonyms KOX,  KOX-1,  NOX4,  RENOX
Swissprot
Calculated MW 6 kDa/25-31 kDa/58-66 kDa
Observed MW 67 kDa
Cellular Localization Cell junction, Cell membrane, Endoplasmic reticulum membrane, Multi-pass membrane protein, Nucleus, focal adhesion, nucleolus.
Concentration 1 mg/mL
Buffer Phosphate buffered solution, pH 7.4, containing 0.05% stabilizer and 50% glycerol.
Purification Method Affinity purification
Research Areas Cancer, Cell Biology, Cardiovascular, Metabolism, Signal Transduction
Conjugation Unconjugated
Storage Store at -20°C Valid for 12 months. Avoid freeze / thaw cycles.
Shipping The product is shipped with ice pack,upon receipt,store it immediately at the temperature recommended.

 

Related Reagents

Applications Recommended Dilution
WB 1:500-1:2000
IHC  1:50-1:100

 

Background

This gene encodes a member of the NOX-family of enzymes that functions as the catalytic subunit the NADPH oxidase complex. The encoded protein is localized to non-phagocytic cells where it acts as an oxygen sensor and catalyzes the reduction of molecular oxygen to various reactive oxygen species (ROS). The ROS generated by this protein have been implicated in numerous biological functions including signal transduction, cell differentiation and tumor cell growth. A pseudogene has been identified on the other arm of chromosome 11. Alternative splicing results in multiple transcript variants.