Warehouse Overstock Promotion |  Save 10%  on Premium Lab Supplies |  Shop Now

Menu

This product has been added to the cart.

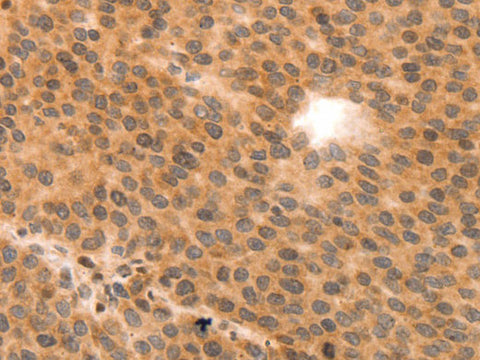
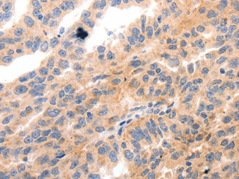
MYL9 Polyclonal Antibody Store at -20°C

SKU: E-AB-12582-200

  • $ 55995
  • Save $ 4000


Request a Quote

MYL9 Polyclonal Antibody Store at -20°C

 

SKU # E-AB-12582
Reactivity Human, Mouse, Rat
Host Rabbit
Applications WB, IHC

 

Product Details

Isotype IgG
Host Rabbit
Reactivity Human, Mouse, Rat
Applications WB, IHC
Clonality Polyclonal
Immunogen Synthetic peptide of human MYL9
Abbre MYL9
Synonyms 20 kDa myosin light chain,  KMLC,  LC20,  MLC-2C,  MLCK2,  MRLC1,  MYL9,  Myosin regulatory light chain 2,  Myosin regulatory light chain 9,  Myosin regulatory light chain MRLC1,  Myosin regulatory light polypeptide ,  smooth muscle isoform
Swissprot
Calculated MW 14 kDa
Cellular Localization Cytoskeleton, muscle myosin complex, Cytosol.
Concentration 0.6 mg/mL
Buffer Phosphate buffered solution, pH 7.4, containing 0.05% stabilizer and 50% glycerol.
Purification Method Affinity purification
Research Areas Cancer,  Cardiovascular,  Signal Transduction,  Stem Cells
Conjugation Unconjugated
Storage Store at -20°C Valid for 12 months. Avoid freeze / thaw cycles.
Shipping The product is shipped with ice pack,upon receipt,store it immediately at the temperature recommended.

 

Related Reagents

Applications Recommended Dilution
WB  1:1000-1:5000
IHC 1:50-1:200

 

Background

Myosin, a structural component of muscle, consists of two heavy chains and four light chains. The protein encoded by this gene is a myosin light chain that may regulate muscle contraction by modulating the ATPase activity of myosin heads. The encoded protein binds calcium and is activated by myosin light chain kinase. Two transcript variants encoding different isoforms have been found for this gene.