Warehouse Overstock Promotion |  Save 10%  on Premium Lab Supplies |  Shop Now

Menu

This product has been added to the cart.

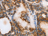
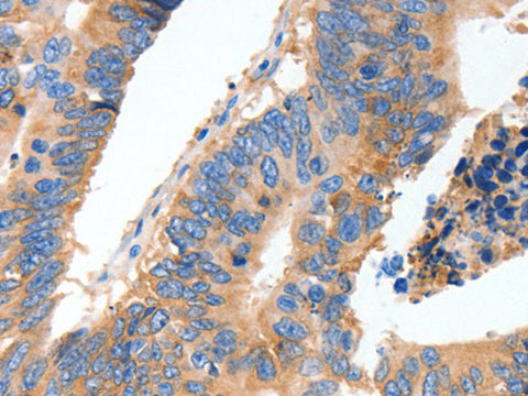
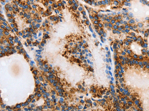
MUC6 Polyclonal Antibody

SKU: E-AB-12786-200

  • $ 55995
  • Save $ 4000


Request a Quote

MUC6 Polyclonal Antibody

 

SKU # E-AB-12786
Reactivity Human
Host Rabbit
Applications IHC

 

Product Details

Isotype IgG
Host Rabbit
Reactivity Human
Applications IHC
Clonality Polyclonal
Immunogen Synthetic peptide of human MUC6
Abbre MUC6
Synonyms Gastric mucin 6,  Gastric mucin-6,  MUC 6,  MUC-6,  MUC6,  MUC6 Fragment,  MUC6 mucin,  MUC6 mucin Fragment,  Muc6,  Mucin 6,  Mucin 6 gastric,  Mucin 6 oligomeric mucus/gel forming,  Mucin glycoprotein Fragment,  Mucin-6,  Secretory mucin MUC6 Fragment
Swissprot
Cellular Localization Secreted.
Concentration 0.4 mg/mL
Buffer Phosphate buffered solution, pH 7.4, containing 0.05% stabilizer and 50% glycerol.
Purification Method Affinity purification
Research Areas Cancer,  Signal Transduction
Conjugation Unconjugated
Storage Store at -20°C Valid for 12 months. Avoid freeze / thaw cycles.
Shipping The product is shipped with ice pack,upon receipt,store it immediately at the temperature recommended.

 

Related Reagents

Applications Recommended Dilution
IHC 1:50-1:200

 

Background

The MUC6 gene encodes gastric mucin, a secreted glycoprotein that plays an essential role in epithelial cytoprotection from acid, proteases, pathogenic microorganisms, and mechanical trauma in the gastrointestinal tract. May provide a mechanism for modulation of the composition of the protective mucus layer related to acid secretion or the presence of bacteria and noxious agents in the lumen. Plays an important role in the cytoprotection of epithelial surfaces and are used as tumor markers in a variety of cancers. May play a role in epithelial organogenesis.