Warehouse Overstock Promotion |  Save 10%  on Premium Lab Supplies |  Shop Now

Menu

This product has been added to the cart.

MTOR Polyclonal Antibody Store at -20°C

SKU: E-AB-12581-200

  • $ 55995
  • Save $ 4000


Request a Quote

MTOR Polyclonal Antibody Store at -20°C

 

SKU # E-AB-12581
Reactivity Human, Mouse, Rat
Host Rabbit
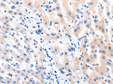
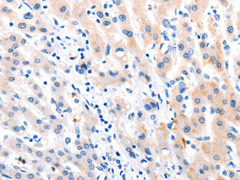
Applications IHC

 

Product Details

Isotype IgG
Host Rabbit
Reactivity Human, Mouse, Rat
Applications IHC
Clonality Polyclonal
Immunogen Synthetic peptide of human MTOR
Abbre MTOR
Synonyms FK506 binding protein 12 rapamycin associated protein 1,  FK506 binding protein 12 rapamycin associated protein 2,  FK506 binding protein 12 rapamycin complex associated protein 1,  FK506-bindi,  dJ576K7.1 (FK506 binding protein 12 rapamycin associated protein 1)
Swissprot
Cellular Localization Endoplasmic reticulum membrane. Golgi apparatus membrane. Mitochondrion outer membrane. Lysosome. Cytoplasm. Nucleus>PML body. Shuttles between cytoplasm and nucleus. Accumulates in the nucleus in response to hypoxia (By similarity). Targeting to lysosomes depends on amino acid availability and RRAGA and RRAGB.
Concentration 0.7 mg/mL
Buffer Phosphate buffered solution, pH 7.4, containing 0.05% stabilizer and 50% glycerol.
Purification Method Affinity purification
Research Areas Cancer,  Cell Biology,  Cardiovascular,  Epigenetics and Nuclear Signaling,  Metabolism
Conjugation Unconjugated
Storage Store at -20°C Valid for 12 months. Avoid freeze / thaw cycles.
Shipping The product is shipped with ice pack,upon receipt,store it immediately at the temperature recommended.

 

Related Reagents

Applications Recommended Dilution
IHC 1:25-1:100

 

Background

The protein encoded by this gene belongs to a family of phosphatidylinositol kinase-related kinases. These kinases mediate cellular responses to stresses such as DNA damage and nutrient deprivation. This protein acts as the target for the cell-cycle arrest and immunosuppressive effects of the FKBP12-rapamycin complex. The ANGPTL7 gene is located in an intron of this gene.