MPPED2 Polyclonal Antibody
Regular price
$ 559.95
Couldn't load pickup availability
Still have questions? Ask our experts!
MPPED2 Polyclonal Antibody
| SKU # | E-AB-52595 |
| Reactivity | Human, Mouse, Rat |
| Host | Rabbit |
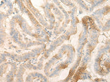
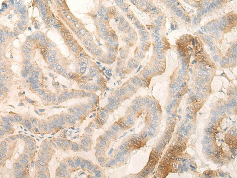
| Applications | IHC |
Product Details
| Isotype | IgG |
| Host | Rabbit |
| Reactivity | Human, Mouse, Rat |
| Applications | IHC |
| Clonality | Polyclonal |
| Immunogen | Full length fusion protein |
| Abbre | MPPED2 |
| Synonyms | 239FB, Brain protein 239, C11orf8, Chromosome 11 open reading frame 8 , D11S302E, FAM 1B, FAM1B, Fetal brain protein 239, Hs.46638, MPPED 2, MPPED2, Metallophosphoesterase domain containing 2, Metallophosphoesterase domain containing protein 2, dJ1024C24.1, dJ873F21.1 |
| Swissprot | |
| Concentration | 1.02 mg/mL |
| Buffer | Phosphate buffered solution, pH 7.4, containing 0.05% stabilizer and 50% glycerol. |
| Purification Method | Antigen affinity purification |
| Research Areas | Neuroscience |
| Conjugation | Unconjugated |
| Storage | Store at -20°C Valid for 12 months. Avoid freeze / thaw cycles. |
| Shipping | The product is shipped with ice pack,upon receipt,store it immediately at the temperature recommended. |
| Conjugation | Unconjugated |
| Storage | Store at -20°C Valid for 12 months. Avoid freeze / thaw cycles. |
| Shipping | The product is shipped with ice pack, upon receipt, store it immediately at the temperature recommended. |
Related Reagents
| Applications | Recommended Dilution |
| IHC | 1:30-1:150 |
Background
This gene likely encodes a metallophosphoesterase.The encoded protein may play a role a brain development.Alternatively spliced transcript variants have been described.