Warehouse Overstock Promotion |  Save 10%  on Premium Lab Supplies |  Shop Now

Menu

This product has been added to the cart.

MAGED1 Polyclonal Antibody Store at -20°C

SKU: E-AB-10444-200

  • $ 33995
  • Save $ 6000


Request a Quote

MAGED1 Polyclonal Antibody Store at -20°C

 

SKU # E-AB-10444
Reactivity Human, Mouse, Rat
Host Rabbit
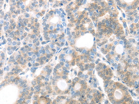
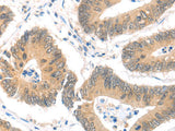
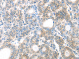
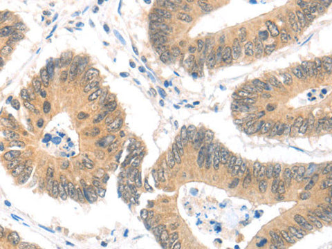
Applications WB, IHC

 

Product Details

Isotype IgG
Host Rabbit
Reactivity Human, Mouse, Rat
Applications WB
Clonality Polyclonal
Immunogen Recombinant protein of human MAG
Abbre MAG
Synonyms GMA,  MAG,  Myelin associated glycoprotein,  Myelin-associated glycoprotein,  S MAG,  S-MAG,  SIGLEC4A,  SPG75,  Sialic acid binding Ig like lectin 4A,  Sialic acid binding immunoglobulin like lectin 4A,  Siglec 4a,  Siglec-4a
Swissprot
Calculated MW 69 kDa
Cellular Localization Membrane.
Concentration 0.2 mg/mL
Buffer Phosphate buffered solution, pH 7.4, containing 0.05% stabilizer and 50% glycerol.
Purification Method Affinity purification
Research Areas Cancer,  Neuroscience
Conjugation Unconjugated
Storage Store at -20°C Valid for 12 months. Avoid freeze / thaw cycles.
Shipping The product is shipped with ice pack,upon receipt,store it immediately at the temperature recommended.

 

Related Reagents

Applications Recommended Dilution
WB 1:500-1:2000
IHC 1:25-1:100

 

Background

This gene is a member of the melanoma antigen gene (MAGE) family. Most of the genes of this family encode tumor specific antigens that are not expressed in normal adult tissues except testis. Although the protein encoded by this gene shares strong homology with members of the MAGE family, it is expressed in almost all normal adult tissues. This gene has been demonstrated to be involved in the p75 neurotrophin receptor mediated programmed cell death pathway. Three transcript variants encoding two different isoforms have been found for this gene.