Warehouse Overstock Promotion |  Save 10%  on Premium Lab Supplies |  Shop Now

Menu

This product has been added to the cart.

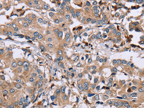
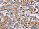
MAGEA3 Polyclonal Antibody

SKU: E-AB-12753-200

  • $ 55995
  • Save $ 4000


Request a Quote

MAGEA3 Polyclonal Antibody

 

SKU # E-AB-12753
Reactivity Human
Host Rabbit
Applications WB, IHC

 

Product Details

Isotype IgG
Host Rabbit
Reactivity Human
Applications WB, IHC
Clonality Polyclonal
Immunogen Synthetic peptide of human MAGEA3
Abbre MAGEA3
Synonyms Antigen MZ2 D,  Antigen MZ2-D,  CT1.3,  Cancer/testis antigen 1.3,  Cancer/testis antigen family 1 member 3,  HIP8,  HYPD,  MAGA3,  MAGE 3 antigen,  MAGE family member A3,  MAGE-3 antigen,  MAGE3,  MAGEA3,  MAGEA6,  Melanoma antigen family A 3,  Melanoma associated antigen 3,  Melanoma-
Swissprot
Calculated MW 35 kDa
Cellular Localization Endoplasmic reticulum, endoplasmic reticulum.
Concentration 0.5 mg/mL
Buffer Phosphate buffered solution, pH 7.4, containing 0.05% stabilizer and 50% glycerol.
Purification Method Affinity purification
Research Areas Cancer,  Immunology,  Tags and Cell Markers
Conjugation Unconjugated
Storage Store at -20°C Valid for 12 months. Avoid freeze / thaw cycles.
Shipping The product is shipped with ice pack,upon receipt,store it immediately at the temperature recommended.

 

Related Reagents

Applications Recommended Dilution
WB 1:500-1:2000
IHC 1:50-1:200

 

Background

This gene is a member of the MAGEA gene family. The members of this family encode proteins with 50 to 80% sequence identity to each other. The promoters and first exons of the MAGEA genes show considerable variability, suggesting that the existence of this gene family enables the same function to be expressed under different transcriptional controls. The MAGEA genes are clustered at chromosomal location Xq28. They have been implicated in some hereditary disorders, such as dyskeratosis congenita.