Warehouse Overstock Promotion |  Save 10%  on Premium Lab Supplies |  Shop Now

Menu

This product has been added to the cart.

KLK1 Polyclonal Antibody Store at -20°C

SKU: E-AB-14179-200

  • $ 55995
  • Save $ 4000


Request a Quote

KLK1 Polyclonal Antibody Store at -20°C

 

SKU # E-AB-14179
Reactivity Human
Host Rabbit
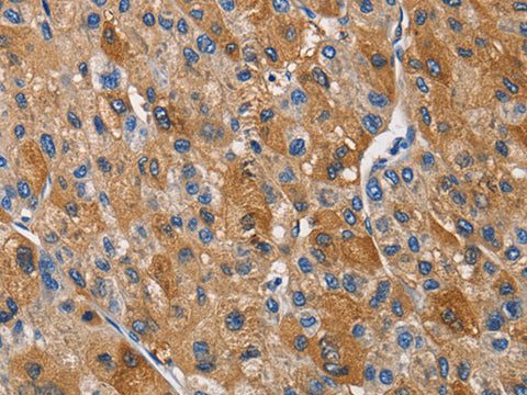
Applications IHC

 

Product Details

Isotype IgG
Host Rabbit
Reactivity Human
Applications IHC
Clonality Polyclonal
Immunogen Recombinant protein of human KLK1
Abbre KLK1
Synonyms Glandular kallikrein 1,  KLK1,  KLKR,  Kallikrein serine protease 1,  Kallikrein-1,  Kidney/pancreas/salivary gland kallikrein,  Klk 6,  Klk6,  Tissue kallikrein,  hK 1,  hK1
Swissprot
Cellular Localization Extracellular region or secreted, extracellular exosome, Nucleus.
Concentration 0.2 mg/mL
Buffer Phosphate buffered solution, pH 7.4, containing 0.05% stabilizer and 50% glycerol.
Purification Method Affinity purification
Research Areas Cancer,  Cell Biology,  Cardiovascular,  Signal Transduction
Conjugation Unconjugated
Storage Store at -20°C Valid for 12 months. Avoid freeze / thaw cycles.
Shipping The product is shipped with ice pack,upon receipt,store it immediately at the temperature recommended.

 

Related Reagents

Applications Recommended Dilution
IHC 1:50-1:200

 

Background

Kallikreins are a subgroup of serine proteases having diverse physiological functions. Growing evidence suggests that many kallikreins are implicated in carcinogenesis and some have potential as novel cancer and other disease biomarkers. This gene is one of the fifteen kallikrein subfamily members located in a cluster on chromosome 19. This protein is functionally conserved in its capacity to release the vasoactive peptide, Lys-bradykinin, from low molecular weight kininogen.