Warehouse Overstock Promotion |  Save 10%  on Premium Lab Supplies |  Shop Now

Menu

This product has been added to the cart.

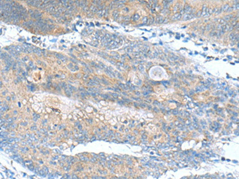
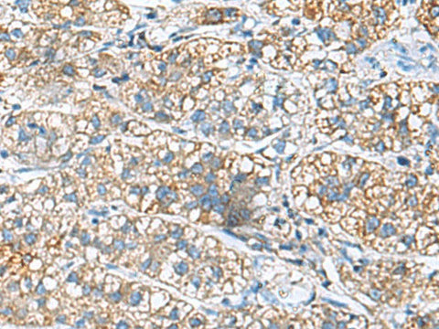
JOSD1 Polyclonal Antibody Reactivity Human

SKU: E-AB-53080-200

  • $ 55995
  • Save $ 4000


Request a Quote

JOSD1 Polyclonal Antibody Reactivity Human

 

SKU # E-AB-53080
Reactivity Human, Mouse, Rat
Host Rabbit
Applications IHC

 

Product Details

Isotype IgG
Host Rabbit
Reactivity Human, Mouse, Rat
Applications IHC
Clonality Polyclonal
Immunogen Fusion protein of human JOSD1
Abbre JOSD1
Synonyms JOS1,  Josd1,  Josephin domain-containing 1,  Josephin-1
Swissprot
Concentration 1.62 mg/mL
Buffer Phosphate buffered solution, pH 7.4, containing 0.05% stabilizer and 50% glycerol.
Purification Method Antigen affinity purification
Research Areas Cell Biology
Conjugation Unconjugated
Storage Store at -20°C Valid for 12 months. Avoid freeze / thaw cycles.
Shipping The product is shipped with ice pack, upon receipt, store it immediately at the temperature recommended.

 

Related Reagents

Applications Recommended Dilution
IHC 1:50-1:200

 

Background

Deubiquitinates monoubiquitinated probes (in vitro). When ubiquitinated, cleaves 'Lys-63'-linked and 'Lys-48'-linked poly-ubiquitin chains (in vitro), hence may act as a deubiquitinating enzyme. May increase macropinocytosis and suppress clathrin- and caveolae-mediated endocytosis. May enhance membrane dynamics and cell motility independently of its catalytic activity.