IKBIP Polyclonal Antibody Store at -20°C
SKU: E-AB-15128-200
IKBIP Polyclonal Antibody Store at -20°C
| SKU # | E-AB-15128 |
| Reactivity | Human, Mouse, Rat |
| Host | Rabbit |
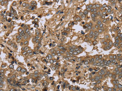
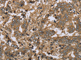
| Applications | IHC |
Product Details
| Isotype | IgG |
| Host | Rabbit |
| Reactivity | Human, Mouse, Rat |
| Applications | IHC |
| Clonality | Polyclonal |
| Immunogen | Recombinant protein of human IKBIP |
| Abbre | IKBIP |
| Synonyms | FLJ31051, I kappa B kinase interacting protein, IKBIP, IKBKB interacting protein, IKIP1, IKIP2, IKIP3, IKK interacting protein, Inhibitor of nuclear factor kappa B kinase interacting protein |
| Swissprot | |
| Cellular Localization | Endoplasmic reticulum, endoplasmic reticulum, endoplasmic reticulum membrane, Other locations: integral component of membrane, membrane. |
| Concentration | 0.4 mg/mL |
| Buffer | Phosphate buffered solution, pH 7.4, containing 0.05% stabilizer and 50% glycerol. |
| Purification Method | Affinity purification |
| Research Areas | Cancer, Cell Biology |
| Conjugation | Unconjugated |
| Storage | Store at -20°C Valid for 12 months. Avoid freeze / thaw cycles. |
| Shipping | The product is shipped with ice pack,upon receipt,store it immediately at the temperature recommended. |
Related Reagents
| Applications | Recommended Dilution |
| IHC | 1:50-1:200 |
Background
IKIP (Inhibitor of nuclear factor kappa-B kinase-interacting protein, IKK-interacting protein) is a single-pass membrane protein that shares a common promoter with APAF1. APAF1 and IKIP are both induced by X irradiation, however, the two gene products are transcribed in different directions. The IKIP gene is believed to be a target for p53 as expression of IKIP has been shown to promote apoptosis. IKIP has four known isoforms, three of which are found traversing the endoplasmic reticulum membrane. IKIP isoform 4 has a deletion of the transmembrane region which leads to a homogenous distribution of the protein within the cell. The IKIP gene products are expressed in vascular endothelial cells, while the isoform 4 has also been detected in lung, kidney, spleen, thymus and skeletal muscle.