Warehouse Overstock Promotion |  Save 10%  on Premium Lab Supplies |  Shop Now

Menu

This product has been added to the cart.

HRG Polyclonal Antibody Store at -20°C

SKU: E-AB-13302-200

  • $ 55995
  • Save $ 4000


Request a Quote

HRG Polyclonal Antibody Store at -20°C

 

SKU # E-AB-13302
Reactivity Human
Host Rabbit
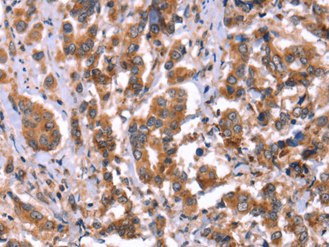
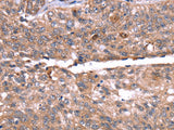
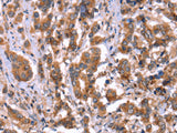
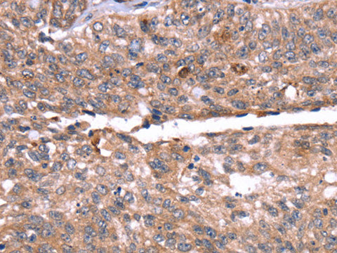
Applications IHC

 

Product Details

Isotype IgG
Host Rabbit
Reactivity Human
Applications IHC
Clonality Polyclonal
Immunogen Synthetic peptide of human HRG
Abbre HRG
Synonyms DKFZp779H1622,  HPRG,  HRGP,  Histidine proline rich glycoprotein,  Histidine rich glycoprotein,  Thrombophilia due to elevated HRG
Swissprot
Cellular Localization Secreted
Concentration 1.4 mg/mL
Buffer Phosphate buffered solution, pH 7.4, containing 0.05% stabilizer and 50% glycerol.
Purification Method Affinity purification
Research Areas Cardiovascular
Conjugation Unconjugated
Storage Store at -20°C Valid for 12 months. Avoid freeze / thaw cycles.
Shipping The product is shipped with ice pack, upon receipt, store it immediately at the temperature recommended.

 

Related Reagents

Applications Recommended Dilution
IHC 1:50-1:200

 

Background

This histidine-rich glycoprotein contains two cystatin-like domains and is located in plasma and platelets. The physiological function has not been determined but it is known that the protein binds heme, dyes and divalent metal ions. It can inhibit rosette formation and interacts with heparin, thrombospondin and plasminogen. Two of the protein's effects, the inhibition of fibrinolysis and the reduction of inhibition of coagulation, indicate a potential prothrombotic effect. Mutations in this gene lead to thrombophilia due to abnormal histidine-rich glycoprotein levels.