Warehouse Overstock Promotion |  Save 10%  on Premium Lab Supplies |  Shop Now

Menu

This product has been added to the cart.

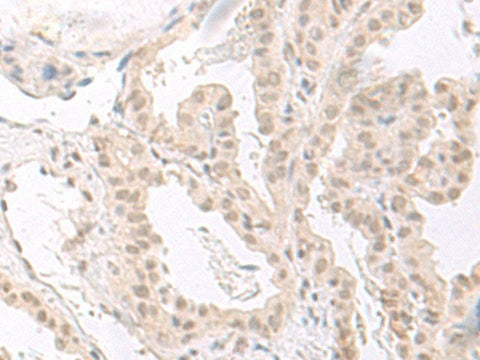
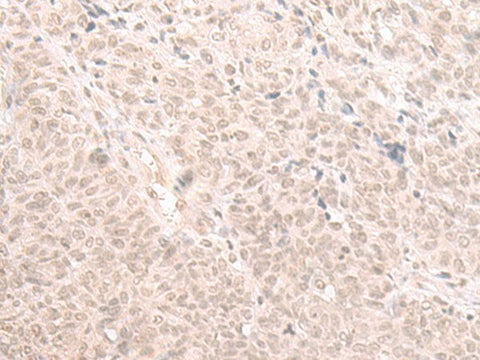
HOOK2 Polyclonal Antibody Reactivity Human

SKU: E-AB-52664-200

  • $ 55995
  • Save $ 4000


Request a Quote

HOOK2 Polyclonal Antibody Reactivity Human

 

SKU # E-AB-52664
Reactivity Human, Mouse
Host Rabbit
Applications IHC

 

Product Details

Isotype IgG
Host Rabbit
Reactivity Human, Mouse
Applications IHC
Clonality Polyclonal
Immunogen Fusion protein of human HOOK2
Abbre HOOK2
Synonyms A630054I03Rik,  FLJ26218,  HK 2,  HK2,  HOOK 2,  Hook homolog 2,  MGC28586,  MGC91008,  h hook2,  hHK 2,  hHK2,  hhook 2,  hhook2,  hook homolog 2 (Drosophila)
Swissprot
Cellular Localization Cytoplasmic. Note=Associates with discrete punctate structure that correspond to neither early or late endosomes, lysosomes, multivesicular bodies (MVBs), Golgi complex, endoplasmic reticulum, nor mitochondria.
Concentration 0.48 mg/mL
Buffer Phosphate buffered solution, pH 7.4, containing 0.05% stabilizer and 50% glycerol.
Purification Method Antigen affinity purification
Research Areas Cancer,  Tags and Cell markers
Conjugation Unconjugated
Storage Store at -20°C Valid for 12 months. Avoid freeze / thaw cycles.
Shipping The product is shipped with ice pack, upon receipt, store it immediately at the temperature recommended.

 

Related Reagents

Applications Recommended Dilution
IHC 1:30-1:150

 

Background

Hook proteins are cytosolic coiled-coil proteins that contain conserved N-terminal domains, which attach to microtubules, and more divergent C-terminal domains, which mediate binding to organelles. The Drosophila Hook protein is a component of the endocytic compartment.