Warehouse Overstock Promotion |  Save 10%  on Premium Lab Supplies |  Shop Now

Menu

This product has been added to the cart.

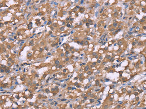
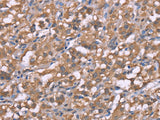
Histamine H3 Receptor Polyclonal Antibody Store at -20°C

SKU: E-AB-13309-200

  • $ 55995
  • Save $ 4000


Request a Quote

Histamine H3 Receptor Polyclonal Antibody Store at -20°C

 

SKU # E-AB-13309
Reactivity Human, Mouse
Host Rabbit
Applications WB, IHC

 

Product Details

Isotype IgG
Host Rabbit
Reactivity Human, Mouse
Applications WB, IHC
Clonality Polyclonal
Immunogen Synthetic peptide of human HRH3
Abbre HRH3
Synonyms G protein coupled receptor 97,  G-protein coupled receptor 97,  GPCR 97,  GPCR97,  H3R,  HH 3R,  HH3 R,  HH3R,  HRH 3,  HRH3,  Histamine H3 receptor,  Histamine receptor H3,  OTTHUMP00000031459
Swissprot
Calculated MW 49 kDa
Cellular Localization Cell membrane.
Concentration 0.7 mg/mL
Buffer Phosphate buffered solution, pH 7.4, containing 0.05% stabilizer and 50% glycerol.
Purification Method Affinity purification
Research Areas Cancer,  Neuroscience
Conjugation Unconjugated
Storage Store at -20°C Valid for 12 months. Avoid freeze / thaw cycles.
Shipping The product is shipped with ice pack, upon receipt, store it immediately at the temperature recommended.

 

Related Reagents

Applications Recommended Dilution
WB 1:1000-1:5000
IHC 1:50-1:200

 

Background

Histamine is a ubiquitous messenger molecule released from mast cells, enterochromaffin-like cells, and neurons. Its various actions are mediated by histamine receptors H1, H2, H3 and H4. This gene encodes one of the histamine receptors (H3) which belongs to the family 1 of G protein-coupled receptors. It is an integral membrane protein and can regulate neurotransmitter release. This receptor can also increase voltage-dependent calcium current in smootHuman, Mouseuscles and innervates the blood vessels and the heart in cardiovascular system.