Warehouse Overstock Promotion |  Save 10%  on Premium Lab Supplies |  Shop Now

Menu

This product has been added to the cart.

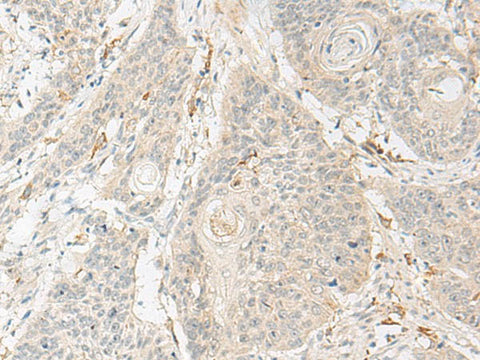
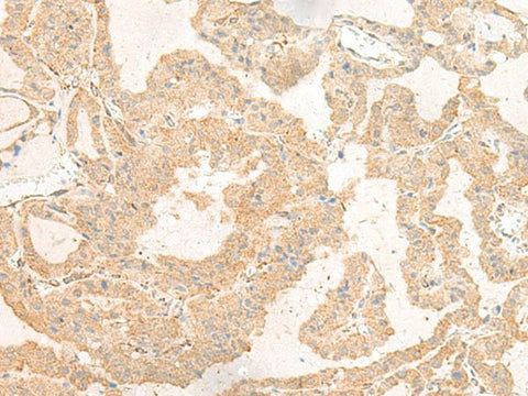
GNAT3 Polyclonal Antibody Store at -20°C

SKU: E-AB-19920-200

  • $ 55995
  • Save $ 4000


Request a Quote

GNAT3 Polyclonal Antibody Store at -20°C

 

SKU # E-AB-19920
Reactivity Human
Host Rabbit
Applications IHC

 

Product Details

Isotype IgG
Host Rabbit
Reactivity Human
Applications IHC
Clonality Polyclonal
Immunogen Synthetic peptide of human GNAT3
Abbre GNAT3
Synonyms GDCA,  GNAT3,  Ggust,  Gnat 3,  Gtn,  Guanine nucleotide binding protein G(t) subunit alpha 3,  Guanine nucleotide binding protein alpha transducing 3,  Guanine nucleotide-binding protein G(t) subunit alpha-3,  Gustducin al,  Gustducin alpha 3,  Gustducin alpha 3 chain
Swissprot
Cellular Localization Cytoplasm, Dual ditribution pattern, plasmalemmal pattern with apical region localization and cytosolic pattern with localization throughout the cytoplasm.
Concentration 1.14 mg/mL
Buffer Phosphate buffered solution, pH 7.4, containing 0.05% stabilizer and 50% glycerol.
Purification Method Antigen affinity purification
Research Areas Neuroscience,  Signal Transduction
Conjugation Unconjugated
Storage Store at -20°C Valid for 12 months. Avoid freeze / thaw cycles.
Shipping The product is shipped with ice pack,upon receipt,store it immediately at the temperature recommended.

 

Related Reagents

Applications Recommended Dilution
IHC 1:40-1:200

 

Background   

Guanine nucleotide-binding protein G(t) subunit alpha-3, also known as gustducin alpha-3 chain, is a protein that in humans is encoded by the GNAT3 gene. GNAT3 can functionally couple to taste receptors to transmit intracellular signal: receptor heterodimer TAS1R2/TAS1R3 senses sweetness and TAS1R1/TAS1R3 transduces umami taste, whereas the T2R family GPCRs act as bitter sensors.