Warehouse Overstock Promotion |  Save 10%  on Premium Lab Supplies |  Shop Now

Menu

This product has been added to the cart.

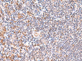
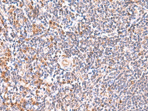
GMDS Polyclonal Antibody Reactivity Human

SKU: E-AB-52916-200

  • $ 55995
  • Save $ 4000


Request a Quote

GMDS Polyclonal Antibody Reactivity Human

 

SKU # E-AB-52916
Reactivity Human, Mouse
Host Rabbit
Applications IHC

 

Product Details

Isotype IgG
Host Rabbit
Reactivity Human, Mouse
Applications IHC
Clonality Polyclonal
Immunogen Fusion protein of human GMDS
Abbre GMDS
Synonyms 6 dehydratase,  GDP D mannose dehydratase,  GDP mannose 4 6 dehydratase,  GDP-D-mannose dehydratase,  GDP-mannose 4,  GMD,  GMDS,  Gmds,  OTTHUMP00000017756,  OTTHUMP00000232770,  SDR3E1,  Short chain dehydrogenase/reductase family 3E member 1
Swissprot
Concentration 0.96 mg/mL
Buffer Phosphate buffered solution, pH 7.4, containing 0.05% stabilizer and 50% glycerol.
Purification Method Antigen affinity purification
Research Areas Cancer,  Metabolism,  Signal transduction
Conjugation Unconjugated
Storage Store at -20°C Valid for 12 months. Avoid freeze / thaw cycles.
Shipping The product is shipped with ice pack, upon receipt, store it immediately at the temperature recommended.

 

Related Reagents

Applications Recommended Dilution
IHC 1:50-1:300

 

Background

GDP-mannose 4,6-dehydratase (GMD; EC 4.2.1.47) catalyzes the conversion of GDP-mannose to GDP-4-keto-6-deoxymannose, the first step in the synthesis of GDP-fucose from GDP-mannose, using NADP+ as a cofactor. The second and third steps of the pathway are catalyzed by a single enzyme, GDP-keto-6-deoxymannose 3,5-epimerase, 4-reductase, designated FX in humans (MIM 137020).