Warehouse Overstock Promotion |  Save 10%  on Premium Lab Supplies |  Shop Now

Menu

This product has been added to the cart.

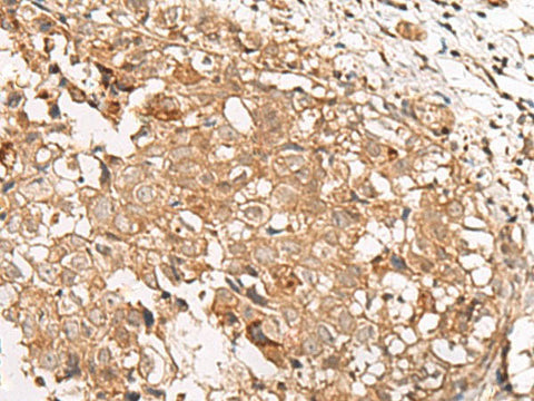
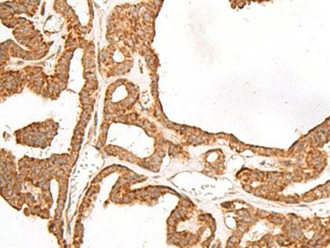
GBGT1 Polyclonal Antibody

SKU: E-AB-19900-200

  • $ 55995
  • Save $ 4000


Request a Quote

GBGT1 Polyclonal Antibody

 

SKU # E-AB-19900
Reactivity Human
Host Rabbit
Applications IHC

 

Product Details

Isotype IgG
Host Rabbit
Reactivity Human
Applications IHC
Clonality Polyclonal
Immunogen Synthetic peptide of human GBGT1
Abbre GBGT1
Synonyms 3-N-acetylgalactosaminyltransferase 1,  A3GALNT,  EC=2.4.1.-,  FS,  Forssman glycolipid synthase-like protein,  Forssman glycolipid synthetase (FS),  Forssman synthetase,  GBGT1,  Globoside alpha-1,  globoside alpha-1,  glycolipid
Swissprot
Cellular Localization Golgi apparatus membrane.
Concentration 1.14 mg/mL
Buffer Phosphate buffered solution, pH 7.4, containing 0.05% stabilizer and 50% glycerol.
Purification Method Antigen affinity purification
Research Areas Metabolism,  Signal transduction
Conjugation Unconjugated
Storage Store at -20°C Valid for 12 months. Avoid freeze / thaw cycles.
Shipping The product is shipped with ice pack,upon receipt,store it immediately at the temperature recommended.

 

Related Reagents

Applications Recommended Dilution
IHC 1:30-1:150

 

Background   

This gene encodes a glycosyltransferase that plays a role in the synthesis of Forssman glycolipid (FG), a member of the globoseries glycolipid family. Glycolipids such as FG form attachment sites for the binding of pathogens to cells; expression of this protein may determine host tropism to microorganisms. Alternative splicing results in multiple transcript variants.