Warehouse Overstock Promotion |  Save 10%  on Premium Lab Supplies |  Shop Now

Menu

This product has been added to the cart.

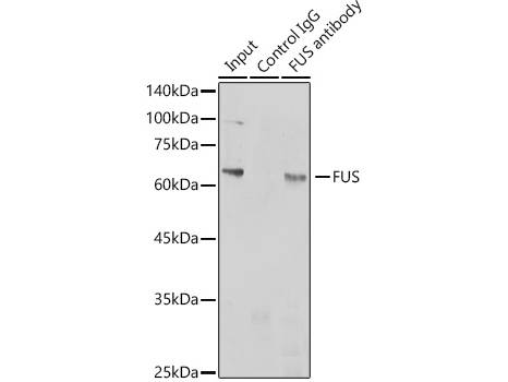
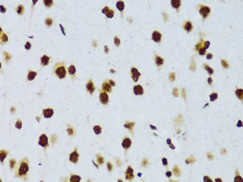
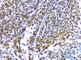
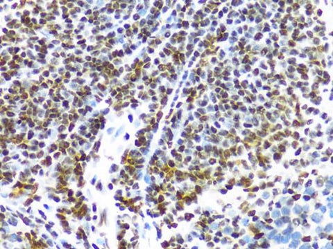
FUS Polyclonal Antibody

SKU: E-AB-93352-200

  • $ 67795
  • Save $ 5300


Request a Quote

FUS Polyclonal Antibody

 

SKU # E-AB-93352
Reactivity Human, Mouse, Rat
Host Rabbit
Applications WB, IHC, IP

 

Product Details

Isotype IgG
Host Rabbit
Reactivity Human, Mouse, Rat
Applications WB, IHC, IP
Clonality Polyclonal
Immunogen Recombinant fusion protein of human FUS
Abbre FUS
Synonyms ALS6, ETM4, FUS1, HNRNPP2, POMP75, RNA-binding protein FUS, TLS, FUS
Swissprot
Calculated MW 53 kDa
Observed MW Refer to figures
Cellular Localization Nucleus
Concentration 1 mg/mL
Buffer Phosphate buffered solution, pH 7.4, containing 0.05% stabilizer and 50% glycerol.
Purification Method Affinity purification
Research Areas Cancer,  Epigenetics and Nuclear Signaling,  Signal Transduction
Conjugation Unconjugated
Storage Store at -20°C Valid for 12 months. Avoid freeze / thaw cycles.
Shipping The product is shipped with ice pack,upon receipt,store it immediately at the temperature recommended.

 

Related Reagents

Applications Recommended Dilution
WB 1:500-1:2000
IHC 1:50-1:200
IP 1:50-1:200

 

Background

This gene encodes a multifunctional protein component of the heterogeneous nuclear ribonucleoprotein (hnRNP) complex. The hnRNP complex is involved in pre-mRNA splicing and the export of fully processed mRNA to the cytoplasm. This protein belongs to the FET family of RNA-binding proteins which have been implicated in cellular processes that include regulation of gene expression, maintenance of genomic integrity and mRNA/microRNA processing. Alternative splicing results in multiple transcript variants. Defects in this gene result in amyotrophic lateral sclerosis type 6.