Warehouse Overstock Promotion |  Save 10%  on Premium Lab Supplies |  Shop Now

Menu

This product has been added to the cart.

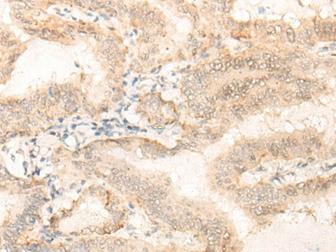
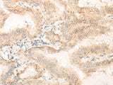
EIF4A3 Polyclonal Antibody Reactivity Human

SKU: E-AB-52632-200

  • $ 55995
  • Save $ 4000


Request a Quote

EIF4A3 Polyclonal Antibody Reactivity Human

 

SKU # E-AB-52632
Reactivity Human, Mouse,  Rat
Host Rabbit
Applications IHC

 

Product Details

Isotype IgG
Host Rabbit
Reactivity Human, Mouse, Rat
Applications IHC
Clonality Polyclonal
Immunogen Fusion protein of human EIF4A3
Abbre EIF4A3
Synonyms ATP-dependent RNA helicase DDX48,  ATP-dependent RNA helicase eIF4A-3,  DDX48,  DEAD box protein 48,  EIF4A3,  Eukaryotic initiation factor 4A-III,  Eukaryotic initiation factor 4A-like NUK-34,  Eukaryotic translation initiation factor 4A ,  eIF-4A-III,  eIF4A-III,  eIF4AIII
Swissprot
Cellular Localization Nucleus. Nucleus speckle. Cytoplasm. Nucleocytoplasmic shuttling protein. Travels to the cytoplasm as part of the exon junction complex (EJC) bound to mRNA. Detected in dendritic layer as well as the nuclear and cytoplasmic (somatic) compartments of neurons. Colocalizes with STAU1 and FMR1 in dendrites.
Concentration 1.2 mg/mL
Buffer Phosphate buffered solution, pH 7.4, containing 0.05% stabilizer and 50% glycerol.
Purification Method Antigen affinity purification
Research Areas Cancer, Epigenetics and Nuclear Signaling
Conjugation Unconjugated
Storage Store at -20°C Valid for 12 months. Avoid freeze / thaw cycles.
Shipping The product is shipped with ice pack, upon receipt, store it immediately at the temperature recommended.

 

Related Reagents

Applications Recommended Dilution
IHC 1:40-1:200

 

Background

This gene encodes a member of the DEAD box protein family. DEAD box proteins, characterized by the conserved motif Asp-Glu-Ala-Asp (DEAD), are putative RNA helicases. They are implicated in a number of cellular processes involving alteration of RNA secondary structure, such as translation initiation, nuclear and mitochondrial splicing, and ribosome and spliceosome assembly. Based on their distribution patterns, some members of this family are believed to be involved in embryogenesis, spermatogenesis, and cellular growth and division. The protein encoded by this gene is a nuclear matrix protein. Its amino acid sequence is highly similar to the amino acid sequences of the translation initiation factors eIF4AI and eIF4AII, two other members of the DEAD box protein family.