Warehouse Overstock Promotion |  Save 10%  on Premium Lab Supplies |  Shop Now

Menu

This product has been added to the cart.

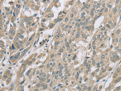
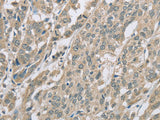
EDA2R Polyclonal Antibody Store at -20°C

SKU: E-AB-11177-200

  • $ 55995
  • Save $ 4000


Request a Quote

EDA2R Polyclonal Antibody Store at -20°C

 

SKU # E-AB-11177
Reactivity Human
Host Rabbit
Applications WB, IHC

 

Product Details

Isotype IgG
Host Rabbit
Reactivity Human
Applications WB, IHC
Clonality Polyclonal
Immunogen Recombinant protein of human EDA2R
Abbre EDA2R
Synonyms 9430060M22Rik,  EDA A2R,  EDA-A2 receptor,  EDA2R,  EDAA2R,  Ectodysplasin A2 isoform receptor,  Ectodysplasin A2 receptor,  MGC124099,  OTTMUSP00000019574,  OTTMUSP00000019575,  RP23-188N15.1,  TNFRSF27,  TNR27,  Tumor necrosis,  Tumor necrosis factor receptor superfamily member 27
Swissprot
Calculated MW 33 kDa
Cellular Localization Membrane.
Concentration 1 mg/mL
Buffer Phosphate buffered solution, pH 7.4, containing 0.05% stabilizer and 50% glycerol.
Purification Method Affinity purification
Research Areas Cancer,  Cell Biology,  Signal Transduction,  Stem Cells
Conjugation Unconjugated
Storage Store at -20°C Valid for 12 months. Avoid freeze / thaw cycles.
Shipping The product is shipped with ice pack,upon receipt,store it immediately at the temperature recommended.

 

Related Reagents

Applications Recommended Dilution
WB  1:500-1:2000
IHC 1:50-1:200

 

Background

EDA-A1 and EDA-A2 are two isoforms of ectodysplasin that are encoded by the anhidrotic ectodermal dysplasia (EDA) gene. Mutations in EDA give rise to a clinical syndrome characterized by loss of hair, sweat glands, and teeth. The protein encoded by this gene specifically binds to EDA-A2 isoform. This protein is a type III transmembrane protein of the TNFR (tumor necrosis factor receptor) superfamily, and contains 3 cysteine-rich repeats and a single transmembrane domain but lacks an N-terminal signal peptide. Alternatively spliced transcript variants have been found for this gene.