DRG1 Polyclonal Antibody Store at -20°C
SKU: E-AB-11166-200
DRG1 Polyclonal Antibody Store at -20°C
| SKU # | E-AB-11166 |
| Reactivity | Human, Mouse |
| Host | Rabbit |
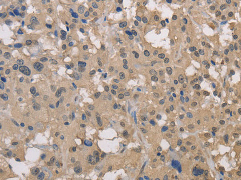
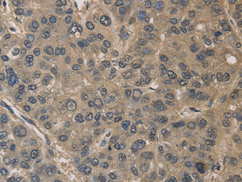
| Applications | WB, IHC |
Product Details
| Isotype | IgG |
| Host | Rabbit |
| Reactivity | Human, Mouse |
| Applications | WB, IHC |
| Clonality | Polyclonal |
| Immunogen | Recombinant protein of human DRG1 |
| Abbre | DRG1 |
| Synonyms | DKFZp434N1827, DRG 1, DRG-1, DRG1, Developmentally regulated GTP binding protein 1, Developmentally-regulated GTP-binding protein 1, NEDD 3, NEDD-3, NEDD3, Neural precursor cell expresse, Neural precursor cell expressed developmentally down regulated protein 3 |
| Swissprot | |
| Calculated MW | 41 kDa |
| Cellular Localization | Cytoplasm. |
| Concentration | 0.5 mg/mL |
| Buffer | Phosphate buffered solution, pH 7.4, containing 0.05% stabilizer and 50% glycerol. |
| Purification Method | Affinity purification |
| Research Areas | Cancer, Cell Biology, Signal Transduction |
| Conjugation | Unconjugated |
| Storage | Store at -20°C Valid for 12 months. Avoid freeze / thaw cycles. |
| Shipping | The product is shipped with ice pack,upon receipt,store it immediately at the temperature recommended. |
Related Reagents
| Applications | Recommended Dilution |
| WB | 1:500-1:2000 |
| IHC | 1:50-1:200 |
Background
DRG1 (developmentally regulated GTP binding protein 1), also known as NEDD3 (neural precursor cell expressed developmentally down-regulated protein 3), is a 367 amino acid protein that localizes to the cytoplasm and belongs to the GTP1/OBG family. Expressed at high levels in heart, kidney and skeletal muscle and at lower levels in brain, liver, placenta, lung, colon and spleen, DRG1 binds to TAL1 and TAL2 and is thought to play a role in cell proliferation and differentiation, as well as in apoptosis, suggesting a role in tumor formation and metastasis. DRG1 is subject to polyubiquitination and sumoylation, the former of which induces proteolytic degradation. The gene encoding DRG1 maps to human chromosome 22, which houses over 500 genes and is the second smallest human chromosome. Mutations in several of the genes that map to chromosome 22 are involved in the development of Phelan-McDermid syndrome, Neurofibromatosis type 2, autism and schizophrenia.