Warehouse Overstock Promotion |  Save 10%  on Premium Lab Supplies |  Shop Now

Menu

This product has been added to the cart.

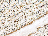
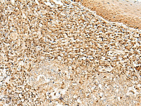
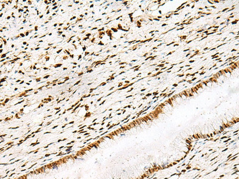
DNPEP Polyclonal Antibody Reactivity Human

SKU: E-AB-52753-200

  • $ 55995
  • Save $ 4000


Request a Quote

DNPEP Polyclonal Antibody Reactivity Human

 

SKU # E-AB-52753
Reactivity Human, Mouse
Host Rabbit
Applications IHC

 

Product Details

Isotype IgG
Host Rabbit
Reactivity Human, Mouse
Applications IHC
Clonality Polyclonal
Immunogen Fusion protein of human DNPEP
Abbre DNPEP
Synonyms ASPEP,  Aspartyl aminopeptidase,  DAP,  DNPEP
Swissprot
Cellular Localization Cytoplasm.
Concentration 0.54 mg/mL
Buffer Phosphate buffered solution, pH 7.4, containing 0.05% stabilizer and 50% glycerol.
Purification Method Antigen affinity purification
Research Areas Cancer,  Metabolism,  Signal transduction
Conjugation Unconjugated
Storage Store at -20°C Valid for 12 months. Avoid freeze / thaw cycles.
Shipping The product is shipped with ice pack, upon receipt, store it immediately at the temperature recommended.

 

Related Reagents

Applications Recommended Dilution
IHC 1:30-1:150

 

Background

The protein encoded by this gene is an aminopeptidase which prefers acidic amino acids, and specifically favors aspartic acid over glutamic acid. It is thought to be a cytosolic protein involved in general metabolism of intracellular proteins. Several transcript variants encoding different isoforms have been found for this gene.