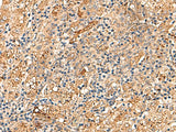
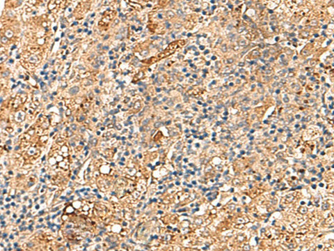
DNAJC14 Polyclonal Antibody Reactivity Human
Regular price
$ 559.95
Couldn't load pickup availability
Still have questions? Ask our experts!
DNAJC14 Polyclonal Antibody Reactivity Human
| SKU # | E-AB-52621 |
| Reactivity | Human, Mouse, Rat |
| Host | Rabbit |
| Applications | WB, IHC |
Product Details
| Isotype | IgG |
| Host | Rabbit |
| Reactivity | Human, Mouse, Rat |
| Applications | WB, IHC |
| Clonality | Polyclonal |
| Immunogen | Fusion protein of human DNAJC14 |
| Abbre | DNAJC14 |
| Synonyms | member 14, subfamily C, DJC14, DNAJ, DNAJC14, DRiP78, DnaJ (Hsp40) homolog, DnaJ homolog subfamily C member 14, DnaJ protein homolog 3, Dopamine receptor interacting protein, Dopamine receptor-interacting protein of 78 kDa, HDJ-3, HDJ3, Human DnaJ protein 3, LI, hDj 3 |
| Swissprot | |
| Calculated MW | 78 kDa |
| Observed MW | Refer to figures |
| Cellular Localization | Endoplasmic reticulum membrane. |
| Concentration | 1.2 mg/mL |
| Buffer | Phosphate buffered solution, pH 7.4, containing 0.05% stabilizer and 50% glycerol. |
| Purification Method | Antigen affinity purification |
| Research Areas | Microbiology, Signal transduction |
| Conjugation | Unconjugated |
| Storage | Store at -20°C Valid for 12 months. Avoid freeze / thaw cycles. |
| Shipping | The product is shipped with ice pack, upon receipt, store it immediately at the temperature recommended. |
Related Reagents
| Applications | Recommended Dilution |
| WB | 1:500-1:2000 |
| IHC | 1:50-1:300 |
Background
Regulates the export of target proteins, such as DRD1, from the endoplasmic reticulum to the cell surface.