Warehouse Overstock Promotion |  Save 10%  on Premium Lab Supplies |  Shop Now

Menu

This product has been added to the cart.

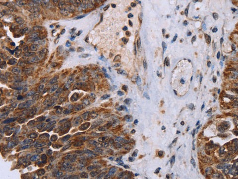
DDX11 Polyclonal Antibody Store at -20°C

SKU: E-AB-15165-200

  • $ 55995
  • Save $ 4000


Request a Quote

DDX11 Polyclonal Antibody Store at -20°C

 

SKU # E-AB-15165
Reactivity Human
Host Rabbit
Applications IHC

 

Product Details

Isotype IgG
Host Rabbit
Reactivity Human
Applications IHC
Clonality Polyclonal
Immunogen Recombinant protein of human DDX11
Abbre DDX11
Synonyms CHL1,  CHL1 related helicase gene 1,  CHL1-like helicase homolog,  CHL1-related protein 1,  CHLR1,  DDX11,  DEAD/H (Asp Glu Ala Asp/His) box polypeptide 11,  DEAD/H (Asp-Glu-Ala-Asp/His) box helicase 11,  DEAD/H (Asp-Glu-Ala-Asp/His) box polypeptide 11 (CHL1-like h,  Ddx11
Swissprot
Cellular Localization Nucleus. Nucleus>nucleolus. During the early stages of mitosis, localizes to condensed chromatin and is released from the chromatin with progression to metaphase. Also localizes to the spindle poles throughout mitosis and at the midbody at later stages of mitosis (metaphase to telophase). Co-localizes with bovine papillomavirus type 1 regulatory protein E2 at early stages of mitosis.
Concentration 0.2 mg/mL
Buffer Phosphate buffered solution, pH 7.4, containing 0.05% stabilizer and 50% glycerol.
Purification Method Affinity purification
Research Areas Cell Biology,  Epigenetics and Nuclear Signaling
Conjugation Unconjugated
Storage Store at -20°C Valid for 12 months. Avoid freeze / thaw cycles.
Shipping The product is shipped with ice pack,upon receipt,store it immediately at the temperature recommended.

 

Related Reagents

Applications Recommended Dilution
IHC 1:50-1:200

 

Background

DEAD box proteins, characterized by the conserved motif Asp-Glu-Ala-Asp (DEAD), are putative RNA helicases. They are implicated in a number of cellular processes involving alteration of RNA secondary structure such as translation initiation, nuclear and mitochondrial splicing, and ribosome and spliceosome assembly. Based on their distribution patterns, some members of this family are believed to be involved in embryogenesis, spermatogenesis, and cellular growth and division. This gene encodes a DEAD box protein, which is an enzyme that possesses both ATPase and DNA helicase activities. This gene is a homolog of the yeast CHL1 gene, and may function to maintain chromosome transmission fidelity and genome stability. Alternative splicing results in multiple transcript variants encoding distinct isoforms.