Warehouse Overstock Promotion |  Save 10%  on Premium Lab Supplies |  Shop Now

Menu

This product has been added to the cart.

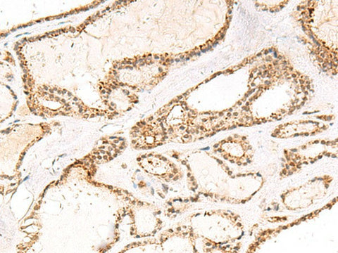
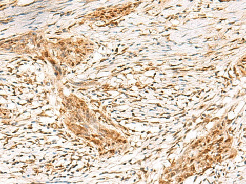
DCAF10 Polyclonal Antibody Reactivity Human

SKU: E-AB-52857-200

  • $ 55995
  • Save $ 4000


Request a Quote

DCAF10 Polyclonal Antibody Reactivity Human

 

SKU # E-AB-52857
Reactivity Human, Mouse
Host Rabbit
Applications IHC

 

Product Details

Isotype IgG
Host Rabbit
Reactivity Human, Mouse
Applications IHC
Clonality Polyclonal
Immunogen Fusion protein of human DCAF10
Abbre DCAF10
Synonyms DCA10,  DDB1- and CUL4-associated factor 10,  WD repeat domain 32,  WD repeat-containing protein 32,  WDR32,  dcaf10
Swissprot
Concentration 0.96 mg/mL
Buffer Phosphate buffered solution, pH 7.4, containing 0.05% stabilizer and 50% glycerol.
Purification Method Antigen affinity purification
Research Areas Cell Biology
Conjugation Unconjugated
Storage Store at -20°C Valid for 12 months. Avoid freeze / thaw cycles.
Shipping The product is shipped with ice pack, upon receipt, store it immediately at the temperature recommended.

 

Related Reagents

Applications Recommended Dilution
IHC 1:50-1:300

 

Background

May function as a substrate receptor for CUL4-DDB1 E3 ubiquitin-protein ligase complex.