Warehouse Overstock Promotion |  Save 10%  on Premium Lab Supplies |  Shop Now

Menu

This product has been added to the cart.

CYP11B1 Polyclonal Antibody Store at -20°C

SKU: E-AB-14911-200

  • $ 55995
  • Save $ 4000


Request a Quote

CYP11B1 Polyclonal Antibody Store at -20°C

 

SKU # E-AB-14911
Reactivity Human
Host Rabbit
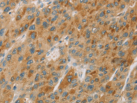
Applications IHC

 

Product Details

Isotype IgG
Host Rabbit
Reactivity Human
Applications IHC
Clonality Polyclonal
Immunogen Recombinant protein of human CYP11B1
Abbre CYP11B1
Synonyms CPN1,  CYP11B,  CYPXIB1,  Cytochrome P 450c11,  Cytochrome P450,  Cytochrome P450 11B1,  Cytochrome p450 XIB1,  family 11,  mitochondrial,  pol,  polypeptide 1,  subfamily B,  subfamily XIB,  subfamily XIB (steroid 11 beta hydroxylase)
Swissprot
Cellular Localization Mitochondrion inner membrane.
Concentration 0.7 mg/mL
Buffer Phosphate buffered solution, pH 7.4, containing 0.05% stabilizer and 50% glycerol.
Purification Method Affinity purification
Research Areas Cancer,  Cardiovascular,  Metabolism,  Signal Transduction
Conjugation Unconjugated
Storage Store at -20°C Valid for 12 months. Avoid freeze / thaw cycles.
Shipping The product is shipped with ice pack,upon receipt,store it immediately at the temperature recommended.

 

Related Reagents

Applications Recommended Dilution
IHC 1:50-1:200

 

Background

This gene encodes a member of the cytochrome P450 superfamily of enzymes. The cytochrome P450 proteins are monooxygenases which catalyze many reactions involved in drug metabolism and synthesis of cholesterol, steroids and other lipids. This protein localizes to the mitochondrial inner membrane and is involved in the conversion of progesterone to cortisol in the adrenal cortex. Mutations in this gene cause congenital adrenal hyperplasia due to 11-beta-hydroxylase deficiency. Transcript variants encoding different isoforms have been noted for this gene.