Warehouse Overstock Promotion |  Save 10%  on Premium Lab Supplies |  Shop Now

Menu

This product has been added to the cart.

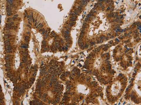
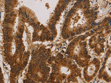
CSNK2B Polyclonal Antibody Store at -20°C

SKU: E-AB-15553-200

  • $ 55995
  • Save $ 4000


Request a Quote

CSNK2B Polyclonal Antibody Store at -20°C

 

SKU # E-AB-15553
Reactivity Human,  Mouse,  Rat
Host Rabbit
Applications IHC

 

Product Details

Isotype IgG
Host Rabbit
Reactivity Human,  Mouse,  Rat
Applications IHC
Clonality Polyclonal
Immunogen Synthetic peptide of human CSNK2B
Abbre CSNK2B
Synonyms CK II beta,  CK2B,  CK2N,  CSK2B,  CSNK 2B,  Casein kinase 2 beta polypeptide,  Casein kinase II beta subunit,  Casein kinase II subunit beta,  G5A,  MGC138222,  MGC138224,  Phosvitin,  Protein G5a,  csnk2b
Swissprot
Cellular Localization Cytosol, Extracellular region or secreted, extracellular exosome, extracellular region, Nucleus, nuclear matrix, nucleoplasm, nucleus, Plasma Membrane, Other locations: chromatin, cilium, cytoplasm, ficolin-1-rich granule lumen, protein kinase CK2 complex, secretory granule lumen.
Concentration 0.3 mg/mL
Buffer Phosphate buffered solution, pH 7.4, containing 0.05% stabilizer and 50% glycerol.
Purification Method Affinity purification
Research Areas Cancer,  Cell Biology,  Stem Cells
Conjugation Unconjugated
Storage Store at -20°C Valid for 12 months. Avoid freeze / thaw cycles.
Shipping The product is shipped with ice pack,upon receipt,store it immediately at the temperature recommended.

 

Related Reagents

Applications Recommended Dilution
IHC 1:50-1:200

 

Background

This gene encodes the beta subunit of casein kinase II, a ubiquitous protein kinase which regulates metabolic pathways, signal transduction, transcription, translation, and replication. The enzyme is composed of three subunits, alpha, alpha prime and beta, which form a tetrameric holoenzyme. The alpha and alpha prime subunits are catalytic, while the beta subunit serves regulatory functions. The enzyme localizes to the endoplasmic reticulum and the Golgi apparatus.