Warehouse Overstock Promotion |  Save 10%  on Premium Lab Supplies |  Shop Now

Menu

This product has been added to the cart.

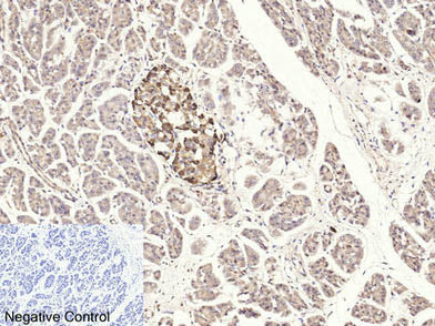
Cleaved-CASP3 p17 (D175) Polyclonal Antibody Store at -20°C Host Rabbit

SKU: E-AB-30004-200

  • $ 55995
  • Save $ 4000


Request a Quote

Cleaved-CASP3 p17 (D175) Polyclonal Antibody Store at -20°C Host Rabbit

 

SKU # E-AB-30004
Reactivity Human,  Mouse,  Rat
Host Rabbit
Applications WB,  IHC-p,  IF

 

Product Details

Isotype IgG
Host Rabbit
Reactivity Human,  Mouse,  Rat
Applications WB,  IHC-p,  IF
Clonality Polyclonal
Immunogen Synthesized peptide derived from the Internal region of human Caspase-3 p17
Abbre Cleaved-Caspase-3 p17 (D175)
Synonyms A830040C14Rik,  Apopain,  CASP-3,  CASP3,  CC3,  CPP-32,  CPP32,  CPP32B,  Casp3a,  Caspase 3,  Caspase-3 subunit p12,  Cysteine p,  apoptosis-related cysteine peptidase,  apoptosis-related cysteine protease,  apoptosis-related cysteine protease a
Swissprot
Calculated MW 32 kDa
Observed MW 20 kDa
Cellular Localization Cytoplasm.
Concentration 1 mg/mL
Buffer Phosphate buffered solution, pH 7.4, containing 0.05% stabilizer, 0.5% protein protectant and 50% glycerol.
Purification Method Affinity purification
Research Areas Cancer,  Cell Biology,  Metabolism,  Neuroscience
Conjugation Unconjugated
Storage Store at -20°C Valid for 12 months. Avoid freeze / thaw cycles.
Shipping The product is shipped with ice pack,upon receipt,store it immediately at the temperature recommended.

 

Related Reagents

Applications Recommended Dilution
WB 1:500-2000
IHC 1:50-300
IF 1:50-300

 

Background

Involved in the activation cascade of caspases responsible for apoptosis execution. At the onset of apoptosis it proteolytically cleaves poly(ADP-ribose) polymerase (PARP) at a '216-Asp-Gly-217' bond. Cleaves and activates sterol regulatory element binding proteins (SREBPs) between the basic helix-loop-helix leucine zipper domain and the membrane attachment domain. Cleaves and activates caspase-6, -7 and -9. Involved in the cleavage of huntingtin.